Résorption cervicale externe : traitement a minima guidé par l’imagerie 3D
Les résorptions cervicales externes (RCE) représentent probablement la situation clinique qui suscite le plus de débats et de discussions au sein de la communauté endodontique concernant la décision thérapeutique optimale, les modalités de prise en charge, les protocoles de suivi à long terme, et l’évaluation pronostique. Cette complexité décisionnelle est d’autant plus marquée lorsque ces lésions établissent une communication directe avec le système canalaire, créant ainsi une voie de contamination potentielle entre l’environnement buccal et l’espace endodontique.
Ces lésions pathologiques, caractérisées par une destruction progressive et insidieuse des tissus dentaires durs initiée typiquement dans la région cervicale – bien qu’elles puissent également, comme dans le cas clinique présenté ici, se manifester directement sur la surface radiculaire – représentent un véritable défi thérapeutique. Leur évolution silencieuse et souvent asymptomatique dans les phases initiales peut considérablement compromettre le pronostic à long terme de la dent atteinte si elles ne sont pas diagnostiquées précocement et traitées de manière appropriée selon des protocoles établis et validés scientifiquement.
En l’absence d’une prise en charge thérapeutique adéquate et opportune, la destruction tissulaire va inexorablement continuer à progresser de façon invasive, imprévisible et anarchique. Cette progression pathologique suit des trajets de moindre résistance à travers les structures dentaires, créant des cavités irrégulières et des zones de fragilisation structurelle. Dans les cas les plus avancés, cette destruction peut atteindre une ampleur telle qu’elle provoque une fragilisation biomécanique majeure de la structure dentaire résiduelle, pouvant ultimement conduire à la fracture catastrophique de la dent, rendant alors toute tentative de conservation impossible et imposant l’extraction comme seule option thérapeutique.
Évolution paradigmatique : de l’approche radicale à la conservation tissulaire
Traditionnellement et historiquement, le traitement des RCE présentant une communication avec le système canalaire impliquait quasi-systématiquement une approche thérapeutique radicale et maximaliste. Cette approche conventionnelle comprenait invariablement le traitement endodontique complet et exhaustif de l’ensemble des canaux radiculaires de la dent affectée, indépendamment de leur implication réelle dans le processus pathologique. Cette phase endodontique était généralement suivie d’une intervention chirurgicale complémentaire visant à éliminer méticuleusement le tissu de granulation inflammatoire, à cureter la zone pathologique, et à obturer hermétiquement le défaut résorptif avec des matériaux de comblement appropriés.
Cependant, cette approche conventionnelle, bien qu’efficace dans l’élimination du processus pathologique, présente l’inconvénient majeur et irréversible de dépulper complètement l’ensemble du système pulpaire de la dent. Cette pulpectomie totale inclut malheureusement les portions pulpaires parfaitement saines et non affectées par le processus pathologique de résorption.
Ce traitement extensif et invasif, au-delà de son caractère irréversible, tend inévitablement à fragiliser considérablement la structure dentaire résiduelle. La perte de vitalité pulpaire entraîne une déshydratation progressive de la dentine, une perte d’élasticité des tissus dentaires, et une susceptibilité accrue aux fractures, compromettant ainsi significativement le pronostic biomécanique à long terme de la dent traitée.
Présentation du patient
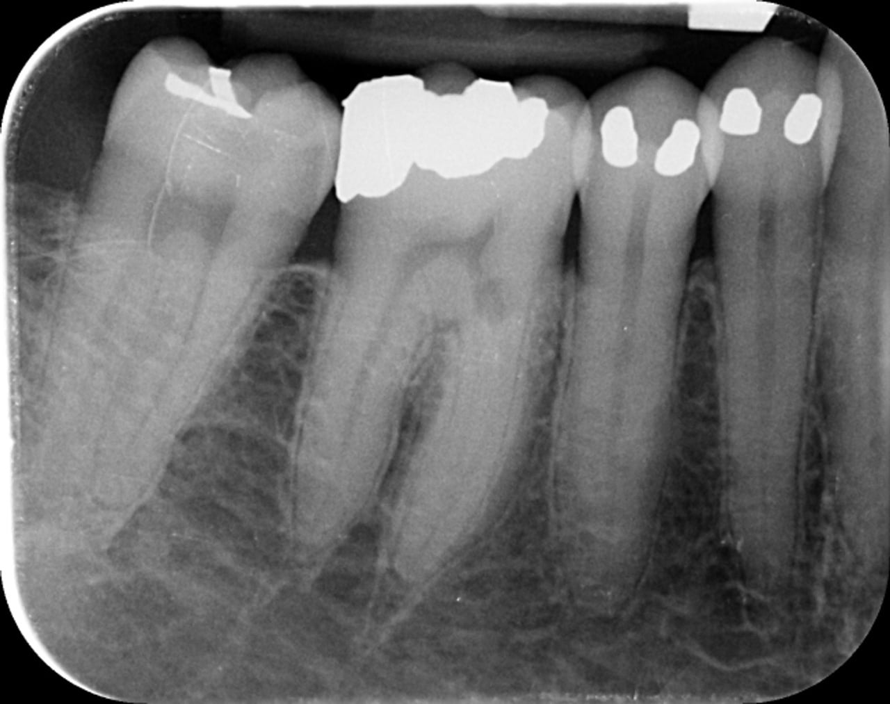
Le patient, âgé de 72 ans est adressé pour une prise en charge de sa dent 36, présentant une lésion de résorption externe sur la surface vestibulaire de la racine mésiale. Cette lésion a été découverte de façon fortuite, à la suite d’une première consultation motivée par une sensibilité peu fréquente du niveau de cette dent. Le patient rapporte des épisodes non pas douloureux, mais une dent sensible, notamment à la palpation vestibulaire à mi-hauteur de la racine.
Cette lésion est clairement visible sur la radiographie préopératoire (Fig.1). Néanmoins, l’analyse de ce cliché réalisé avec un angulateur selon la technique des plans parallèles, ne permet pas de délimiter clairement les bords de cette lésion, ni d’en définir la profondeur et ses rapports avec l’endodonte de la dent concernée.
Pour décider de l’approche thérapeutique la moins invasive possible, un CBCT moyen champ a été réalisé. Sur cet examen, la lésion est clairement visible (Fig.2). L’analyse méthodique de différentes coupes permet de mettre également en évidence des lésions sur les dents 35 et 27. Néanmoins, ces lésions sont juxta-gingivales et ressemblent plutôt à des lésions d’usures. Sur la dent 36, la lésion présente des limites déchirées, et son rapport avec la pulpe n’est pas évident.
Afin d’avoir une meilleure lecture de la situation clinique, les fichiers DICOM sont intégrés dans un logiciel de lecture et de segmentation utilisant l’intelligence artificielle (www.diagnocat.eu).

Fig.1 : Radiographie préopératoire – cliché pris selon la technique des plans parallèles avec un angulateur.

Fig.2 : Vues frontale, coronale et sagittale de la dent présentant la résorption, issues de l’examen CBCT moyen champ.
Une fois les fichiers téléchargés sur la plateforme, deux types de segmentation sont possibles.
– La première segmentation permet de « découper » les clichés dent par dent et de proposer, grâce à l’IA, une lecture diagnostique. Cette lecture se fait sur des coupes horizontales, coronales et sagittales.
– La seconde segmentation permet quant à elle de faire une reconstitution tridimensionnelle des lésions. Cette seconde segmentation est très utile sur le plan clinique, à la fois pour le diagnostic, la décision thérapeutique mais également la procédure clinique.
Sur les différentes images obtenues par segmentation et reconstitution 3D (Fig.3 et 4), on voit clairement que :
– la lésion a des limites « déchirées », ce qui confirme le diagnostic de résorption externe,
– la lésion est en contact direct avec la pulpe radiculaire du canal MV de la racine mésiale de la dent (Fig.5a et 5b),
– la corne pulpaire est facilement repérable, et surtout, très facile à projeter sur la face occlusale.

Fig.3 : Reconstitution 3D – vue sous un autre angle.

Fig.4 : Reconstitution 3D centrée sur la lésion, vue frontale.

Fig.5a et 5b : Reconstitutions 3D montrant la communication entre la lésion de résorption et la pulpe radiculaire du canal MV.

Fig.5b.
À partir de ces éléments, un traitement en trois temps a été mis en place :
– un premier temps « endodontique, orthograde » pour réaliser le traitement canalaire du canal mésio-vestibulaire et d’en réaliser la pulpectomie,
– un second temps opératoire visant à protéger la pulpe camérale résiduelle par coiffage,
– un troisième temps opératoire immédiat chirurgical permettant d’éliminer le tissu de résorption au sein du tissu dur, et de réaliser une obturation en vision directe.
Temps opératoire 1 : réalisation de la pulpectomie du canal, et traitement canalaire
À ce stade, une question légitime peut se poser : « Pourquoi réaliser le traitement canalaire d’un seul canal et non pas des trois canaux ? ». On peut même se poser la question suivante : « Faut-il réellement réaliser la pulpectomie de ce canal et pourquoi ne pas conserver les tissus biologiques vivants au sein du canal ? »
La raison du choix de la pulpectomie s’appuie sur notre expérience personnelle qui a démontré que lorsqu’une lésion de résorption entre en contact avec la pulpe, le tissu résiduel vivant présent dans le canal ne constitue plus un véritable tissu pulpaire, mais plutôt un tissu inflammatoire de type granulation. C’est la raison pour laquelle, à la suite de plusieurs échecs que nous avons essuyés sur ce type de situations où nous avons essayé de faire un coiffage pulpaire pur, il a été décidé de réaliser une pulpectomie complète.
La difficulté étant de savoir où s’arrête la progression du tissu de granulation par rapport à la pulpe radiculaire, à la pulpe normale. C’est une question à laquelle nous ne savons pas répondre et nous devons avouer que, dans ce cas précis, le fait de réaliser uniquement le traitement d’un canal peut être discutable face à une autre décision qui aurait consisté à réaliser le traitement canalaire complet.
Réalisation de la cavité d’accès
Dans un premier temps, l’obturation à l’amalgame est éliminée en partie avec une fraise transmétal Talon 12 – (Tri Hawk, USA). Le reste de l’obturation sera éliminé lors de la confection de la restauration coronaire. Pour la cavité d’accès, il est décidé de réaliser une cavité de type Ninja qui permet d’accéder directement et uniquement au canal concerné (Fig.6).
Pour ce faire, la corne pulpaire mesio-vestibulaire et sa projection sur la face occlusale de la dent sont repérées sur l’image 3D issue de la segmentation. Cette trajectoire est mémorisée, et sert de guide pour le chemin de la fraise qui va permettre de réaliser une exposition pulpaire directe, franche et de petite taille.
La cavité est réalisée avec une fraise boule diamantée de diamètre 14 (Microcopy- USA) montée sur un contre-angle rouge utilisé avec un spray abondant.

Fig.6 : Vue occlusale de la dent avec la cavité d’accès réalisée.
Mise en forme canalaire
Toujours dans le concept de préparation a minima, la mise en forme a été réalisée avec le système Slim Shaper (Zarc) (Fig.7). Ce système, utilisé en rotation continue à 500 tours/minute, propose une séquence de trois instruments conçus en alliage différent.
Le ZS1 (15/100mm) est en alliage « Gold » (Fig.8).
Le ZS2 (20/100) est un alliage « Pink ».
Le ZS3, (25/100) instrument de finition, est un alliage « Blue ».

Fig.7 : Système Slim Shaper – séquence de trois instruments (ZS, ZS2 et ZS3) (Zarc – Espagne).

Fig.8 : Utilisation du ZS1 pour la mise en forme canalaire.
Utilisés de façon séquentielle, tous les instruments devant atteindre la longueur du travail les uns après les autres, ce système permet d’obtenir une mise en forme avec un diamètre apical de 25/100 une conicité de 4 %.
Tout au long du traitement, le canal est abondamment irrigué avec une solution d’hypochlorite de sodium à 2 % (Cerkamed, Pologne) mélangée au Dual Rinse (Medcem, Autriche). La combinaison de ces deux solutions permet d’obtenir une solution d’irrigation à la fois désinfectante mais également chélatante, nous affranchissant ainsi d’utiliser l’EDTA en rinçage final. L’irrigation est conduite avec des aiguilles fines à double sortie latérale (Z-Rinse, Zarc, Espagne) (Fig.9). L’irrigation est alors finalisée avec l’utilisation d’une aiguille conique en plastique souple (Irrifx leby Zarc, Espagne) à double sortie latérale également qui va permettre de réaliser une irrigation en même temps qu’une activation mécanique manuelle.

Fig.9 : Irrigation abondante à l’aide de l’aiguille Z Rinse, avec un mélange d’hypochlorite de sodium et de Dual Rinse.
Obturation canalaire
Malgré les difficultés rencontrées pour obtenir le séchage du canal (Fig.10), il a finalement été possible de se remettre dans des conditions adéquates pour l’obturation, dans la même séance.
Le canal a donc été séché avec des cônes de papier Slim Shaper (Zarc, Espagne) et l’obturation conduite avec une biocéramique.
Le Neosealer Flow (Zarc by Avalaon, Espagne) est injecté directement dans le canal et un cône de gutta adapté au système a été mis en place afin de finir l’obturation (Fig.11). Le cône a enfin été sectionné à l’entrée du canal puis compacté avec un fouloir Prexo M (Deppeler, Suisse) afin de créer un bouchon coronaire.

Fig.10 : Séchage du canal avant obturation.

Fig.11 : Obturation canalaire avec le Neo Sealer (Zarc, Espagne) et un cône de Gutta percha ZS1.
Temps opératoire 2 : coiffage pulpaire de la pulpe camérale
Le traitement canalaire étant terminé, il convient alors de compléter cette obturation pour protéger la pulpe camérale, qui elle, reste vivante.
Il est donc procédé à un coiffage pulpaire dit « direct » par mise en place d’un matériau de la famille du MTA, le Neo Putty (Zarc by Avalon, Espagne). Ce matériau est prêt à l’emploi et est directement prélevé de la seringue sur une plaque de verre. Il peut être façonné à sa convenance. Dans le cas présent, un petit cône de matériau est préparé en le roulant sur la plaque de verre, puis placé sur le bout du fouloir Prexo M (Deppeler, Suisse). La mise en place est très facile et le contrôle est parfait grâce à la forme évasée de l’embout du fouloir. Le MTA est mis en place directement au contact du tissu et légèrement compacté de façon à le faire rentrer sans excès dans la chambre pulpaire (Fig.12).
L’objectif est d’obtenir une protection de la pulpe et une obturation étanche de cette voie que pourraient emprunter les bactéries d’origine coronaire. Une fois ce coiffage pulpaire réalisé, la cavité d’accès est obturée avec un composite fluide collé. La dent sera ultérieurement restaurée par la mise en place d’un inlay collé (Fig.13 et 14). La partie orthograde du traitement est donc terminée. La troisième étape, chirurgicale, est réalisée dans la même séance.

Fig.12 : Vue occlusale après obturation canalaire et coiffage pulpaire de la pulpe camérale après pulpotomie partielle.

Fig.13 : Application de l’adhésif sur le fond de la cavité.

Fig.14 : Restauration de la cavité d’accès avec un composite fluide collé.
Temps opératoire 3 : traitement de la lésion de résorption en vision directe
Dans ce troisième temps, l’objectif est d’atteindre la lésion de résorption afin de la cureter correctement, convenablement et entièrement. Pour ce faire, un lambeau de petite étendue est levé avec une incision de décharge en mésial et une incision en circulaire sur la dent 36 uniquement. Le lambeau est récliné, la lésion est très vite mise en évidence (Fig.15).
Elle est alors nettoyée avec un insert ultra-sonore diamanté, courbé, de chirurgie endodontique (insert RD25, Woodpecker, Chine) (Fig.16). Le curetage est minutieux et permet, à un moment donné, de mettre en évidence la gutta percha que l’on reconnaît au sein du canal.
La cavité est alors séchée puis obturée avec un composite fluide, collé (Fig.17). Le choix du matériau pour cette étape reste également un sujet de discussion. Aurait-il fallu préférer un ciment au verre ionomère ? ou directement du MTA ? Ce dernier présente l’inconvénient d’une faible résistance au Wash out, ce qui est préjudiciable au moins le temps de la cicatrisation de première intention. Une fois l’obturation terminée, la gencive est remise en place et suturée avec un fil de suture en Prolène 6-0 (Atramat, Brésil).
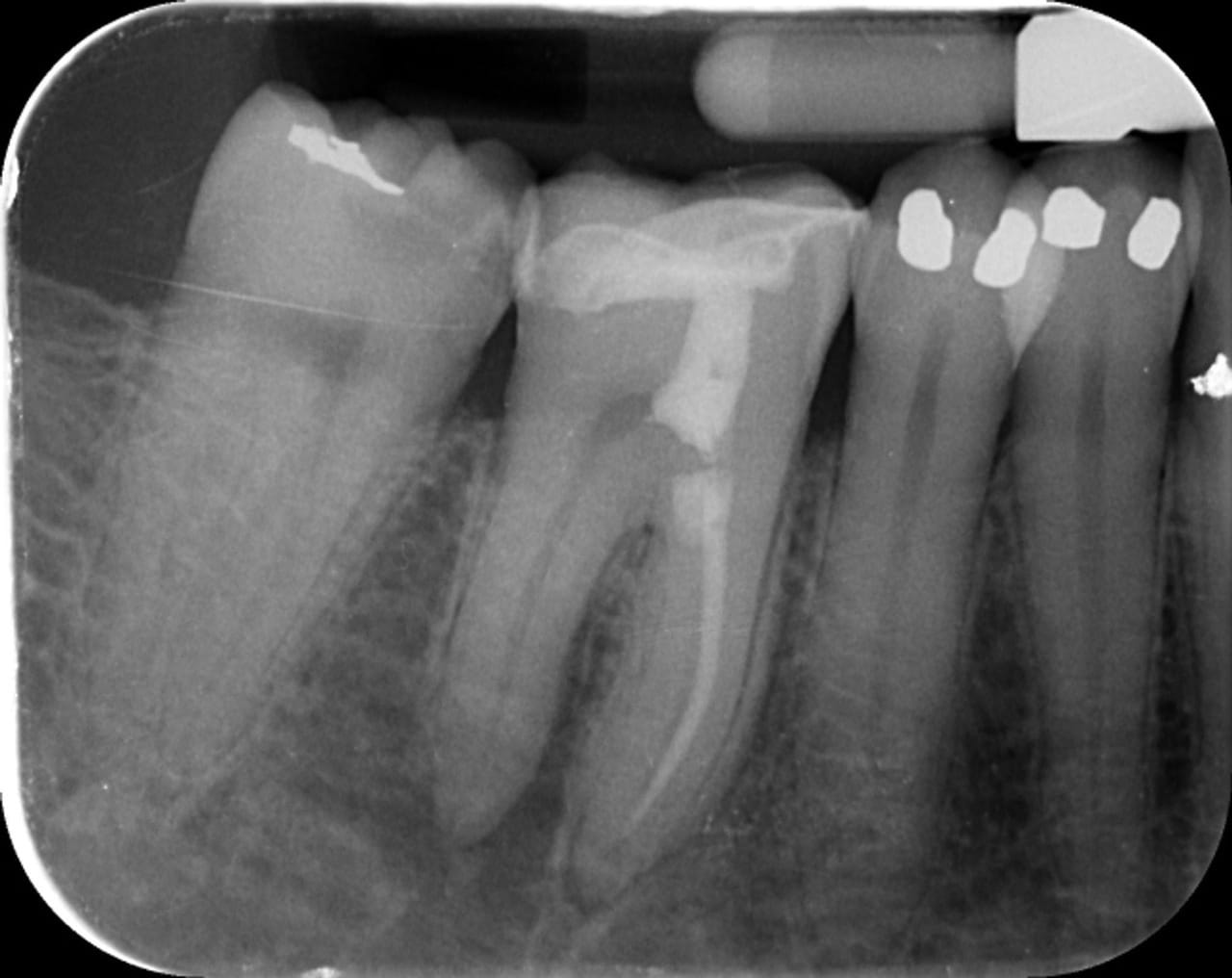
La radiographie postopératoire montre un traitement qui peut surprendre (Fig.18). Un seul canal traité, une pulpotomie partielle au niveau de la chambre et une obturation à mi-hauteur de la racine.
48 heures après le traitement, le patient a subi des douleurs de niveau 3/4 sur une échelle visuelle analogique de la douleur. Il s’est automédiqué avec du paracétamol pendant 24 heures. Les douleurs se sont estompées le lendemain pour devenir absentes dès le surlendemain. La dent a immédiatement été restaurée avec un inlay collé afin d’assurer l’étanchéité coronaire, élément essentiel dans ce type de traitement (Fig.19).

Fig.15 : Vue de la lésion de résorption sur la racine mésiale de la dent, après avoir décollé le lambeau de pleine épaisseur.

Fig.16 : Préparation de la cavité de résorption à l’aide d’un insert ultra-sonore de chirurgie endodontique.

Fig.17 : Vue vestibulaire de la racine après obturation au composite fluide collé.

Fig.18 : Radiographie postopératoire prise avec un angulateur selon la technique des plans parallèles.

Fig.19a : Vue de la dent préparée avant le collage de l’inlay/onlay.

Fig.19b : Vue occlusale de la dent après collage de l’inlay/onlay.
Suivi et précautions
À sept mois postopératoires, le patient ne présente aucune douleur, et a retrouvé un confort de mastication qu’il perdait progressivement (Fig.20).

Fig.20 : Contrôle radiographique à sept mois postopératoires.
Il est difficile d’anticiper la pérennité de ce type de traitement, car ils sont très peu décrits dans la littérature. Sur notre expérience personnelle, le pronostic est en général très bon. Les signes d’échecs qui pourraient justifier une nouvelle intervention sont :
– la persistance d’une gêne ou l’apparition de douleurs, voire d’une simple gêne,
– l’apparition d’une lésion apicale sur l’une des racines qui signeraient la nécrose pulpaire d’un ou des canaux restants, ainsi que leur infection.
En dehors de ces signes cliniques et/ou radiographiques, rien ne justifie une nouvelle intervention.
Un suivi régulier, biannuel puis annuel suffit pour suivre l’évolution de ces traitements atypiques. Il est également conseillé de confier un compte rendu de traitement au patient qu’il pourrait fournir, le cas échéant, à un autre praticien qui pourrait être surpris du traitement effectué.
Conclusion
Il convient de souligner que l’approche thérapeutique présentée dans ce cas clinique revêt un caractère innovant et mériterait un débat approfondi au sein de la communauté endodontique. L’objectif de cette description n’est pas d’établir un protocole de référence systématique pour toute résorption radiculaire, mais plutôt de proposer une réflexion thérapeutique intégrant harmonieusement les données cliniques spécifiques du cas, les connaissances scientifiques actuelles en biologie pulpaire et notre expertise clinique consolidée.
La stratégie adoptée a combiné trois modalités thérapeutiques distinctes : (1) un traitement endodontique du canal présentant une souffrance pulpaire avérée, (2) un coiffage pulpaire direct pour préserver la vitalité des portions saines, et (3) une intervention chirurgicale complémentaire. Cette approche multimodale s’appuie sur notre maîtrise technique et notre expérience clinique documentée de chacune de ces procédures, nous autorisant ainsi à explorer cette voie thérapeutique alternative.
Il est fondamental de préciser que cette démarche doit demeurer exceptionnelle et ne peut être envisagée qu’après une analyse rigoureuse du cas, une évaluation minutieuse du rapport bénéfice-risque, et une prise de décision éclairée et collégiale.
Auteur
Dr Stéphane Simon
Endodontiste
Directeur scientifique de la société JOLSI (Endo Académie)
stephane@endo-academie.fr
