Patent Medical remporte le prix du « Fabricant d’implants de l’année »
Sponsorisé par Patent™L’entreprise suisse Patent Medical a été couronnée par MedTech Outlook Europe, qui lui a décerné le prestigieux titre de « Implant Manufacturer of the Year 2025 ».
Une récompense historique : Patent Medical est la première société au monde à avoir réussi à créer un véritable « bond » biologique entre les tissus mous et la surface d’un implant dentaire.
Selon le magazine de référence, ce « bond » unique avec les tissus mous marque une avancée majeure dans la prévention de la péri-implantite – une affection qui touche, selon une vaste revue d’études, au moins 20 % des patients implantés.

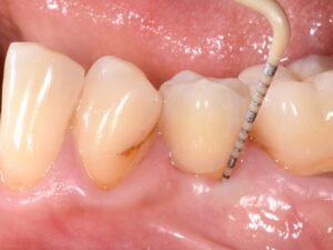
Implant Patent™ chez un patient présentant des facteurs de risque après 4,5 ans : À la différence des implants dentaires classiques, les implants Patent™ ne montrent aucune formation de poche. Leur « bond » stable avec les tissus mous permet de maintenir des profondeurs de sondage limitées à 3 mm au maximum, similaires à celles d’une dent naturelle en parfaite santé. (Copyright Dr Roland Glauser)
Une innovation qui change la donne
Fruit de plusieurs années de recherche, le nouveau « bond » cellulaire breveté de Patent™ a été validé scientifiquement par les Drs Roland Glauser, Dr Peter Schüpbach, le Prof. Dieter Bosshardt et le Prof. Anton Sculean.
Leurs travaux démontrent que les cellules épithéliales adhèrent naturellement à la surface transmuqueuse des implants Patent™, formant dès les premiers jours une barrière de défense dynamique contre la plaque et les bactéries.
Grâce à ce mécanisme de protection unique, le risque d’inflammation et de récession tissulaire est considérablement réduit, la progression de la mucosite vers la péri-implantite est évitée, et l’esthétique du sourire est préservée durablement.
Congrès ADF 2025
Rendez-vous au stand de Patent Medical (4M10) lors du congrès ADF 2025 pour en savoir plus !
