Solutions Bredent Group ADF Stand 3 M03 – Flux numérique complet en Implantologie avec MCI
Sponsorisé par BredentCi-dessous veuillez apprécier un protocole de chirurgie implantaire guidée pour arcade complète et prothèse provisoire en PMMA à vissage instantané par ces deux docteurs. (Le cas clinique est tiré d'un poster publié à l'Europerio de Vienne 2025).
Information et Objectifs
Les progrès de la dentisterie numérique ont rendu les flux de travail implantaires plus efficaces et prévisibles. Cependant, dans les cas guidés sur arcade complète, la mise en charge immédiate de la prothèse provisoire préfabriqué

Dr Vincent Roubinet Cabinet le 35 Montélimar, France

Dr Purvi Bhargava Scarlet Smiles – Clinique dentaire spécialisée et centre d’implantologie Jaipur, Inde
e nécessite davantage de temps au fauteuil compte tenu d’ajustements supplémentaires.
Ce cas utilise une technique de flux de travail entièrement numérique : la prothèse provisoire immédiate implanto-portée en PMMA est conçue et usinée de manière à ce qu’un puits de vissage soit intégré à la prothèse elle-même et se fixe instantanément au pilier placé sur les implants, sans rebasage ni chape.
L’idée est que, les implants n’étant pas encore ostéointégrés lors de la mise en charge immédiate, ils peuvent être placés sous une légère contrainte mécanique guidée par la prothèse. La passivité est ensuite obtenue après ostéointégration à 3 mois, les implants s’adaptant à la prothèse1. Le « vissage instantané » désigne la fixation immédiate de la prothèse sur les implants posés par chirurgie guidée sans lambeau, garantissant ainsi une stabilité et une fonction instantanées.
Description Cas Clinique
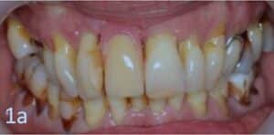
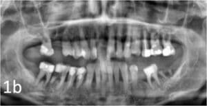
Une patiente de 55 ans, en bonne santé et non fumeuse, présentait une mobilité dentaire généralisée et une récession gingivale. Des examens cliniques et radiologiques (Fig. 1a, 1b) ont été réalisés. Un diagnostic de parodontite généralisée de stade 3, grade B 2, a été posé. La maladie parodontale a été traitée et l’état maxillaire a été stabilisé par un traitement endodontique et la pose de bridges provisoires.

La planification du traitement « SKY fast & fixed » pour l’arcade inférieure a été réalisée selon un protocole entièrement numérique. Le logiciel CoDiagnostiX (Fig. 2a, 2b) a été utilisé pour superposer les fichiers DICOM et STL ainsi que la prothèse virtuelle utilisés pour la planification des positions et des guides implantaires.
Les guides chirurgicaux métalliques empilables (Remi Laffont, Theeproject labo.) ont été conçus (Fig. 3) et fabriqués par frittage laser, garantissant la rigidité et la précision requises par ce protocole.
Les piliers copaSKY uni.cone (bredent medical) ont été placés virtuellement sur les implants prévus (Fig. 4), et un pilier scanné correspondant y a été appliqué afin d’obtenir l’empreinte virtuelle pré-chirurgicale. Une prothèse provisoire immédiate implanto-portée en PMMA a été usinée et préparée avant l’intervention, conformément au protocole (Fig. 5). Cette prothèse a été testée sur les modèles imprimés avec des analogues de laboratoire afin de reconfirmer son ajustement.


Sous anesthésie locale, une approche complète sans lambeau a été réalisée. Le guide de base a été mis en place avec le guide chirurgical à appui dentaire (Fig. 6a, 6b) stabilisé par des cales. Des extractions atraumatiques des dents inférieures ont été réalisées. Un curetage alvéolaire et une thérapie photodynamique antibactérienne (aPDT) ont été réalisés confor
mément aux instructions du fabricant (HELBO, bredent medical). Une irrigation antibiotique a été réalisée et l’épithélium sulculaire a été desepithelialisé. Le guide de forage a été placé sur le guide de base, la stabilité assurée par des pins de fixation et des ligatures (Fig. 6c). À l’aide du kit SKY Pro Guide (bredent medical), l’ostéotomie a été réalisée. L’insertion guidée des implants postérieurs a été réalisée en premier afin de stabiliser le gabarit. Tous les implants (copa SKY, bredent medical) ont été placés à un couple ≥ 35 N-cm et les piliers copaSKY uni.cone ont été mis en place, suivis de la prothèse pour vérification.

La prothèse temporaire et les piliers ont ensuite été retirés ; l’alvéole a été préservée avec du stickybone, un mélange de PRF injectable (fibrine riche en plaquettes), d’os autogène et de xénogreffe (Bio-Oss, Geistlich), protégé par une membrane de PRF. Les sites implantaires ont été fixés par des sutures monofilament résorbables (BioSyn™). Les piliers copaSKY uni.cone (Fig. 7) ont ensuite été serrés sur les implants, et la prothèse temporaire implanto-portée en PMMA a été vissée en serrant successivement les vis de chaque pilier avec un couple de 15 N-cm (Fig. 8).

Résultats Clinique
La prothèse implanto-portée en PMMA a été vissée sur les piliers sans aucune modification, validant ainsi le protocole de « vissage instantané ». La précision de la chirurgie guidée et du positionnement de la prothèse a été vérifiée en superposant la planification numérique avec la position implantaire post-chirurgicale finale segmentée (Fig. 9). Tous les implants ont été ostéointégrés sans complications. La santé gingivale était satisfaisante (Fig. 10a, 10b) et les niveaux radiographiques de l’os crestal, comparant immédiatement après la chirurgie (Fig. 11a) et à trois mois de suivi (Fig. 11b), étaient stables.
Conclusion
Ce protocole offre une solution esthétique et agréable, réduisant le temps passé au fauteuil le jour de l’intervention, ce qui facilite le travail du praticien et améliore le confort du patient. Ce protocole de « vissage instantané » est valable uniquement pour les implants axiaux. Cependant, des essais cliniques sur un échantillon plus large sont nécessaires avant qu’il ne devienne une pratique courante dans les cas de réhabilitation guidée de l’arcade complète avec mise en charge immédiate. Des études complémentaires sont encouragées afin de rendre le protocole de « vissage instantané » également possible pour les implants inclinés.
Références
1. D. Pascual, J. Vaysse,Chirurgie implantaire et prothèse guidées et assistées par ordinateur : le flux numérique continu,Revue de Stomatologie, de Chirurgie Maxillo- faciale et de Chirurgie Orale,Volume 117, Issue 1,2016,Pages 28-35.
2. Caton J, Armitage G, Berglundh T, et al. A new classification scheme for periodontal and peri-implant diseases and conditions – Introduction and key changes from the 1999 classification. J Clin Periodontol. 2018; 45(Suppl 20): S1–S8.
