Omnipraticiens, l’alignement dentaire a sa place dans votre pratique
Align Technology, référence en matière d’aligners pour les orthodontistes depuis 1997, a développé et mis sur le marché un produit à destination des omnipraticiens: le système Invisalign Go.
Son utilisation est parfaitement indiquée pour la correction de troubles orthodontiques mineurs tels qu’un encombrement de moins de 6 millimètres, un espacement de l’ordre de 7mm, un léger décalage d’axe médian, une supraclusion ou une béance légères, un articulé croisé antérieur limité à deux dents…
L’intégration de ce système dans un traitement pluridisciplinaire plus ou moins complexe prend réellement tout son sens, car l’orthodontie est le premier pilier de la dentisterie minimalement invasive prônée par Gil Tirlet et Jean-Pierre Attal.
Le traitement par aligners pourra donc précéder ou être associé à de la parodontologie, de l’implantologie, de la prothèse, ou de la dentisterie cosmétique comprenant éclaircissements, améloplasties, composites, overlays, facettes… et ainsi recréer ou améliorer les sourires de nos patients, la demande en ce sens est grandissante.
L’alignement dentaire nous permet, en préservant le tissu dentaire, en favorisant une meilleure hygiène bucco dentaire par réduction de l’encombrement, en répartissant de façon plus homogène les forces occlusales, de prendre en compte toutes les données esthétiques, occlusales, biologiques et structurelles afin de pérenniser nos traitements. Le système Invisalign Go nous aide donc à aller vers une simplification des procédures de traitement et à restaurer bienêtre et confiance en soi chez nos patients.
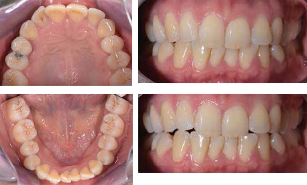
Le cas présenté ici est un cas simple à gérer en omnipratique du quotidien avec l’utilisation d’aligners préalablement à un éclaircissement, à quelques composites, gingivoplastie et coronoplastie : c’est donc un cas classique d’orthodontie restauratrice a minima.
CAS CLINIQUE DU DR CORINNE ATTIA – Exercice privé à Lyon
• Patiente de 38 ans
Motif de consultation :
Cette jolie jeune femme n’aime pas son sourire qu’elle trouve « tordu » et asymétrique.
Elle souhaite l’améliorer, avoir des dents bien droites et « bien rangées » il s’agit d’une récidive, elle a déjà eu deux traitements multi attaches à l’adolescence et est un peu réticente à l’idée de repasser par la case « Orthodontie ». Nous lui proposons un traitement Invisalign Go pour aligner ses dents avant de faire d’autres corrections mineures. Pour éviter et anticiper toute éventuelle récidive, nous prévoyons déjà la pose d’une contention à l’issue du traitement.

À l’examen fonctionnel, on note une déglutition et une respiration normales, un chemin de fermeture sans déviation. Il n’y a pas de parafonction. La patiente ne souffre pas de pathologie articulaire.
Psychologiquement, la patiente est sympathique, agréable, motivée et compliante.
L’examen exo buccal montre un équilibre des 3 étages faciaux et une légère asymétrie de la ligne du sourire, un bon tonus musculaire et une posture de repos.
L’examen endo buccal objective une bonne hygiène bucco dentaire, des dents en bon état et un parodonte sain mais pas très épais. Il y a pas de
soucis de freins lingual ou labiaux.
Les dents de sagesse sont en place et ne posent pas de problème.
• Vertical : articulé limite « inversé » secteurs 1/4 au niveau de la canine ; très légère supracclusion ; asymétrie du plan esthétique
• Transversal : milieux inter-incisifs décalés ; axes des dents des blocs IC ; formes des arcades ; encombrement maxillaire et mandibulaire
• Sagittal : une classe I d’Angle Canine et Molaire droite et gauche, surplomb horizontal normal
• Examen des dents : forme un peu globuleuse ; soins faits 14 couronnée ; bord libre de la 11 fracturé
> Diagnostic Classe 1, Encombrement DDM.
Plan de traitement
- Correction de l’encombrement antérieur et des axes des dents,
- Moyens : RIP, Expansion Vestibuloversion, Dérotation, Ingression
- Le bord libre de la 21 est pris en référence, la 11 a un bord libre fracturé
- RIP mandibulaire entre 0.2 et 0.4mm
- Un peu de RIP secteur 1 pour récupérer le décalage des milieux et l’occlusion
- Un éclaircissement est envisagé en fin de traitement ainsi que la réfection de la couronne sur 14,
- Coronoplastie de la 11, gingivoplastie de la 21 et composite 15,
- Equilibration
- On prévoit une contention type Vivera
Radio panoramique :


L’examen du ClinCheck (plan de traitement virtuel) reste primordial; nous n’avons pas hésité à le détailler, le modifier jusqu’à obtenir les résultats souhaités, validés par la patiente en adéquation avec les données biologiques, structurelles, parodontales et esthétiques.
Nous avons tenu compte des mouvements effectués et notamment de l’expansion et de la vestibuloversion des dents que l’on a limitées compte tenu d’un parodonte peu épais et de récessions gingivales existantes (pour lesquelles la patiente a refusé des greffes).
Nous avons donc privilégié de réaliser une réduction interproximale
et des mouvements de torque radiculopalatin.

La patiente, satisfaite par la visualisation des résultats a accepté notre proposition : elle est actrice de son traitement et a hâte de le commencer.
Le plan de traitement validé comporte 18 aligners : (tous seront actifs à la mandibule et seulement 10 aligners seront actifs au maxillaire). Nous recommandons à la patiente de les porter 10 jours chacun pour réaligner les dents sur les arcades et remettre en place les milieux interincisifs décalés. Puisque nous envisageons une coronoplastie du bord libre de la 11 ébréché, nous avons pris le bord libre de la 21 en référence. Le stripping ou réduction inter proximale reste peu invasif de 0.2 à 0.4 mm soit au total 0.2 mm entre 13 et 14 pour le maxillaire et 2.3 mm à la mandibule réparti entre 33 et 44 (décision prise motivée par le large diamètre des dents du bloc incisivo canin mandibulaire et le choix de limiter les mouvements de vestibuloversion pour protéger le parodonte).
Compte tenu de l’encombrement initial, cette réduction interproximale a eu lieu à des phases différentes du traitement, pour ne pas abimer les faces vestibulaires des dents à limer, nous avons préféré décaler certains strippings. Nous avons pris soin de coller (avec beaucoup de rigueur) des taquets optimisés pour avoir des forces de rotation (entre autres) adaptées, et des taquets d’ancrage supplémentaires au niveau molaire pour assurer les résultats prévus.


Suivi de traitement : la patiente est revue en moyenne toutes les 4 gouttières et iTero, notre caméra optique, nous permet de valider que l’évolution du traitement est conforme au ClinCheck en réalisant des évaluations de progression superposant l’état d’avancement du traitement à l’étape correspondante sur le Clin Check.
La patiente motivée, impliquée et compliante porte bien ses aligners le temps requis et leur parfait ajustement nous assure du déplacement des dents dans le bon sens.
Finitions de traitement :
La gestion des finitions était simple et classique, elles ont consisté en une équilibration, un éclaircissement, une plastie gingivale au niveau du collet la 21, une améloplastie de la 11, des composites sur 12, 22 et 15 et la réfection de la couronne sur la 14.
Nous n’avons pas eu recours à des aligners supplémentaires car la patiente ne l’a pas souhaité, mais à des finitions avec une pince de détails pour rajouter quelques points de pression sur les incisives latérales supérieures afin de finir de les aligner sur l’arcade maxillaire.
Nous avons également réalisé des gouttières de contention type Vivera et en avons fourni 3 jeux à la patiente. Les consignes de port sont : 15 à 20 heures par jour pendant 6 mois (puis toutes les nuits les 6 mois suivants). Par la suite, la patiente pourra les porter une nuit sur deux si tout est stable : nous conseillons une contention à vie.

Conclusion :
La patiente, réfractaire initialement à l’idée d’un traitement d’orthodontie, imaginant améliorer son sourire par la pose de facettes, est enchantée par les résultats obtenus: nous avons répondu à sa demande rapidement et simplement: sa satisfaction est gratifiante et motivante !
La réussite d’un traitement est toujours intimement liée à l’écoute des doléances du patient, à la pose du bon diagnostic, à la connaissance de ses limites en visant des objectifs réalisables et à la maîtrise d’une stratégie de traitement: en tant que praticiens, nous sommes responsables de nos traitements, de leur stabilité et de leur pérennité.












