Couverture de récessions multiples avec une matrice dermique acellulaire
Les matrices de collagène conviennent pour recouvrir les récessions des dents lorsqu'elles sont indiquées de manière appropriée.
L’exposition de la surface radiculaire due à la récession de la gencive marginale apicale à la jonction émail-cément (JEC) est définie comme une récession gingivale. La récession gingivale peut se produire de manière isolée ou généralisée, quel que soit l’âge, chez des personnes ayant une bonne ou une mauvaise hygiène bucco-dentaire [4, 5]. Cela peut rendre l’hygiène buccale plus difficile et donc favoriser l’inflammation parodontale (par exemple la gingivite) ou le développement de caries radiculaires.
Dans de nombreux cas, la récession porte atteinte à l’aspect esthétique et peut même conduire à une hypersensibilité accrue du collet de la dent. Par conséquent, les principales indications pour le traitement des récessions gingivales sont d’améliorer l’hygiène buccale et l’esthétique – dans certains cas un traitement de l’hypersensibilité du collet peut être envisagée.
D’un point de vue biologique et clinique, le traitement des récessions multiples est particulièrement difficile, car il s’agit de surfaces très larges (dentine ou cément radiculaire) qui ne sont pas perfusées et où la stabilisation du coagulum sanguin et de la plaie est généralement très difficile.
Tunnel coronaire avancé modifié
Le tunnel coronaire avancé modifié (MCAT) représente une technique chirurgicale innovante pour couvrir les récessions simples et multiples [6-7]. Grâce à la préparation mucopériostée, cette technique minimise le risque de perforation ou de nécrose du lambeau, une complication qui peut survenir en particulier dans les sites où les tissus mous sont très fins. En évitant les incisions verticales et les incisions des papilles, on assure une irrigation sanguine adéquate du lambeau mucopériosté. L’avancement coronaire et sans tension du tunnel permet une couverture complète ou partielle des greffons de tissus mous et améliore ainsi leur nutrition et leurs chances de survie. Les résultats des essais cliniques ont démontré que le MCAT est une option prometteuse pour couvrir des récessions multiples.
Cependant, le prélèvement de greffons de tissu conjonctif sous-épithélial est associé à une morbidité accrue chez les patients. En outre, la possibilité de prélever suffisamment de tissu est limitée par des facteurs anatomiques. Des troubles de la sensibilité au niveau des sites de prélèvement ont même été décrits dans certains cas. Pour éviter le problème du prélèvement de tissu dans le palais, divers matériaux de substitution tissulaire ont été introduits. Les matrices de collagène offrent surtout des avantages cliniques car elles peuvent absorber et servir de réservoir aux facteurs de croissance de la plaie. En outre, elles peuvent stabiliser le coagulum sanguin et agir virtuellement comme un guide pour les cellules de l’environnement de la plaie [1, 2, 3].
Matrices de collagène
Les matrices de collagène conviennent également pour recouvrir les récessions des dents lorsqu’elles sont indiquées de manière appropriée [8]. Des résultats récents d’études in vitro ont montré qu’une matrice dermique hydrogénée (NovoMatrix) délivre des facteurs de croissance dans la plaie sur une période de 13 jours. En outre, cette matrice a un effet positif sur la migration et la prolifération des fibroblastes et des ostéoblastes, influençant ainsi indirectement la libération de facteurs de croissance par ces cellules. Les premiers résultats cliniques ont montré que la matrice de collagène hydrogéné a non seulement un effet positif sur la cicatrisation des plaies, mais qu’elle est également facile à utiliser dans la pratique clinique [1-3].

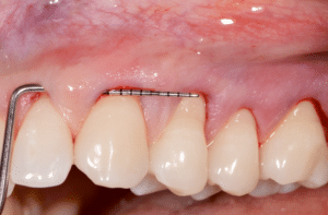
Fig.1 : Une patiente s’est présentée pour un traitement avec des surfaces radiculaires exposées et des obturations cervicales dans le deuxième quadrant. Elle a signalé une hypersensibilité des dents. Dans le cas présent, les multiples récessions gingivales ont été recouvertes par le tunnel modifié, avancé coronairement et la matrice de collagène dermique acellulaire (NovoMatrix).

Fig.2 : Après un léger détartrage des surfaces radiculaires exposées, qui a servi à éliminer tout le biofilm présent, des incisions intrasulculaires ont été pratiquées dans la zone de récession, et tous les tissus mous buccaux – la gencive et la muqueuse mobile – ont été détachés dans le cadre d’un lambeau mucopériosté à l’aide d’instruments spéciaux de tunnellisation et mobilisés au-delà de la bordure mucogingivale.

Fig.3 : La préparation de la gencive papillaire associée à la préparation du lambeau divisé s’étendant au-delà de la bordure mucogingivale, permettent l’enfilage de la matrice dermique dans le tunnel, sa couverture et l’avancement coronaire du complexe de tissus mous mobilisé. Les fibres saillantes ont été détachées de l’intérieur du lambeau pendant la préparation à l’aide d’un scalpel ou d’une curette tranchante.

Fig.4 : La NovoMatrix préhydratée a été découpée à la taille de la zone à couvrir et placée dans une solution saline pour éliminer la solution tampon phosphate dans laquelle la matrice est fournie.

Fig.5 : La matrice a ensuite été tractée dans le tunnel à l’aide de sutures matelassées. À l’aide d’un instrument émoussé et en tirant simultanément sur les sutures, la matrice a été soigneusement insérée et positionnée dans le tunnel sur le défaut de récession le plus large.

Fig.6 : Le gros plan illustre déjà clairement l’épaississement des tissus mous ainsi que le positionnement exact de la matrice, qui peut être recouverte de manière atraumatique par les tissus mous mobilisés, à l’aide de sutures suspendues.

Fig.7 : En utilisant une technique de suture modifiée par rapport à la technique de tunnellisation, les tissus mous ont été avancés coronairement, en se concentrant sur la couverture de la matrice ainsi que sur la couverture de la récession. L’avancement coronaire était d’environ 1,5 à 2 mm par rapport à la jonction cément-émail afin de compenser toute rétraction postopératoire des tissus.

Fig.8 : La cicatrisation postopératoire s’est déroulée sans complications. Après six mois, on a observé un bon épaississement et une couverture presque complète de la plupart des récessions. Il convient de mentionner la couleur naturelle des tissus mous et, d’un point de vue clinique, la bonne manipulation de cette matrice de collagène.
Auteur
Pr Anton Sculean

Professeur titulaire et directeur du département de parodontologie de l’université de Berne
Chef du centre de recherche dentaire (CRD) du ZMK de Berne
2019-2021 Président de l’Académie internationale de parodontologie (IAP)
Bibliographie
[1] Nica C, Lin Z, Sculean A, Asparuhova M. Adsorption and Release of Growth Factors from Four Different Porcine-Derived Collagen Matrices. Materials. 2020 Jun 9;13(11):2635.
[2] Zhikai Lin, Cristina Nica, Anton Sculean, Maria B. Asparuhova. Enhanced Wound Healing Potential of Primary Human Oral Fibroblasts and Periodontal Ligament Cells Cultured on Four Different Porcine-Derived Collagen Matrices. Materials. 2020 Aug 29;13(17):3819.
[3] Zhikai Lin, Cristina Nica, Anton Sculean, Maria B. Asparuhova. Positive Effects of Three-Dimensional Collagen-Based Matrices on the Behavior of Osteoprogenitors Front Bioeng Biotechnol. 2021 Jul 21;9:708830.
[4] Kassab MM, Cohen RE. The etiology and prevalence of gingival recession. J Am Dent Assoc 2003;134:220-225.
[5] Lovegrove J, Leichter J. Exposed root surface: A review of aetiology, management, and evidence-based outcomes of treatment. N Z Dent J 2004; 100:72-81.
[6] Sculean A, Cosgarea R, Stähli A, Katsaros C, Arweiler NB, Miron RJ, Deppe H. Treatment of multiple adjacent maxillary Miller Class I, II, and III gingival recessions with the modified coronally advanced tunnel, enamel matrix derivative, and subepithelial connective tissue graft: A report of 12 cases. Quintessence Int 2016;47:653-659.
[7] Sculean A, Cosgarea R, Katsaros C, Arweiler NB, Miron RJ, Deppe H. Treatment of single and multiple Miller Class I and III gingival recessions at crown-restored teeth in maxillary esthetic areas. Quintessence Int 2017;48:777-782.
[8] Cosgarea R, Miron R, Bora R, Rosu A, Buduru S, Sculean A.Long-term results after treatment of multiple adjacent gingival recessions with the modified coronally advanced tunnel and a porcine acellular dermal matrix. Quintessence Int. 2021;52(1):32-44.
