La Revue d'ODF - N°59-3 : Orthodontie et Parodontie - 1re partie : Fondamentaux et diagnostics
Orthodontie et parodontologie se côtoient depuis longtemps dans nos pratiques cliniques : parfois en parfaite synergie, parfois avec des zones d’ombre. Pourtant, c’est bien dans cette interface que se joue la réussite à long terme et la stabilité fonctionnelle comme esthétique des traitements
- 1. Communication entre parodontiste et orthodontiste : synergie des compétences pour une meilleure prise en charge du patient
- 2. Diagnostic parodontal : bases fondamentales et nouvelle classification
- 3. Intérêt de l’usage quotidien du Cone Beam dans la gestion orthodontique des cas fragilisés par la maladie parodontale
- 4. Microbiote, aligneurs et multi-attaches chez le patient parodontal, que nous dit la littérature moderne ?
- 5. Gestion des encombrements antérieurs en présence de besoins parodontaux : approche multidisciplinaire
- 6. Innovations dans le traitement parodontal non chirurgical pré-orthodontique : l’apport des lasers
- 7. Revue de presse
- 8. In Memoriam – Carl F. Gugino, DDS, FACD, FICD
Dans ce numéro de la Revue d’ODF :
Communication entre parodontiste et orthodontiste : synergie des compétences pour une meilleure prise en charge du patient

1 Exercice libéral exclusif en parodontologie, Bordeaux
2 Exercice libéral exclusif en dentisterie esthétique, Nice
3 Exercice libéral exclusif en parodontologie et implantologie, Bordeaux
Cet article souligne l’importance d’une communication fluide entre orthodontistes et parodontistes pour assurer une prise en charge optimale du patient. Il décrit les outils essentiels à cette collaboration : comptes rendus médicaux, imagerie, photographies, chartings, et empreintes numériques. Une coordination rigoureuse est nécessaire avant, pendant et après le traitement orthodontique pour prévenir les complications parodontales. L’interdisciplinarité permet de stabiliser la santé parodontale, adapter les traitements, prévenir les complications et garantir la durabilité des résultats. Le développement d’outils numériques (DPI, plateformes sécurisées, applications IA) facilite cette synergie entre professionnels.
Diagnostic parodontal : bases fondamentales et nouvelle classification

Exercice privé limité à la parodontologie, Orléans CCU-AH, en parodontologie, Université Paris Cité Service d’odontologie, Hôpital Charles Foix, Ivry-sur-Seine
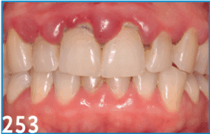
Le Workshop mondial de 2017 sur la classification des maladies parodontales et péri-implantaires a introduit un nouveau système de classification fondé sur les preuves, remplaçant le modèle de 1999 devenu obsolète et imprécis. Ce nouveau cadre propose une approche diagnostique affinée de la santé et des maladies parodontales en mettant l’accent sur la perte d’attache clinique interproximale et en introduisant un système de stadification et de gradation de la parodontite. La parodontite de stade IV grade C, en particulier les cas de type 2 impliquant des migrations dentaires pathologiques, constitue un phénotype clinique distinct nécessitant fréquemment une prise en charge interdisciplinaire. Dans un contexte de demande croissante de traitements orthodontiques chez l’adulte, notamment chez les patients présentant des antécédents de parodontite ou une perte d’attache parodontale, une évaluation parodontale rigoureuse est indispensable avant tout mouvement dentaire. Des critères stricts de stabilité parodontale doivent être atteints avant d’initier le traitement orthodontique, et des biomécaniques spécifiques, adaptées au soutien parodontal réduit, doivent être mises en oeuvre. Une collaboration interdisciplinaire étroite entre orthodontistes et parodontistes est essentielle pour garantir un succès fonctionnel et esthétique à long terme. L’objectif de cette revue narrative est de mettre en lumière les principes diagnostiques de la classification de 2017 et propose des stratégies cliniques pour la prise en charge orthodontique des patients à parodonte compromis.
Intérêt de l’usage quotidien du Cone Beam dans la gestion orthodontique des cas fragilisés par la maladie parodontale

Parodontologie Implantologie, Paris
L’utilisation quotidienne du Cone Beam (CBCT) en orthodontie, notamment pour les patients fragilisés par la maladie parodontale est d’un intérêt croissant. Traditionnellement, l’analyse parodontale reposait sur des outils 2D comme les radiographies panoramiques, le sondage et les clichés photographiques. Le CBCT, imagerie 3D de haute précision, devient un outil de plus en plus utilisé, offrant une visualisation tridimensionnelle des structures osseuses et dentaires, difficile à obtenir en 2D. Il permet une meilleure évaluation des pertes osseuses, des déhiscences, des fenestrations, et de la morphologie des furcations, facilitant ainsi la planification des traitements orthodontiques et parodontaux complexes. Les recommandations insistent sur une utilisation raisonnée du CBCT, en privilégiant les plus petits champs de vue (FOV) pour limiter l’irradiation, et uniquement lorsque les examens 2D sont insuffisants. En phase de maintenance, le CBCT aide à surveiller l’évolution de la maladie parodontale. En conclusion, le CBCT améliore la sécurité et la prévisibilité des traitements orthodontiques chez les patients à risque parodontal, tout en respectant les principes de radioprotection.
Microbiote, aligneurs et multi-attaches chez le patient parodontal, que nous dit la littérature moderne ?

Pratique limitée à la Parodontie/Implantologie Le Cannet des Maures
La maladie parodontale est une maladie inflammatoire multifactorielle d’étiologie bactérienne, caractérisée par une perte progressive des tissus de soutien de la dent. Les migrations dentaires pathologiques, associées à un dysfonctionnement masticatoire ou phonatoire, sont les motifs de consultation principaux chez l’orthodontiste, dont le rôle dans le dépistage de la maladie est crucial. Les traitements orthodontiques sont une aide à l’amélioration radicale des conditions anatomiques locales pouvant constituer des facteurs de risque de la maladie : encombrements, diastèmes, égressions… et contribuent aussi au gain d’attache clinique ainsi qu’à l’amélioration du biotype gingival. La littérature récente valide l’utilisation des aligneurs et des systèmes multi-attaches chez le patient parodontal stabilisé. Cependant, il est légitime de s’interroger sur l’impact microbiologique et tissulaire que ces traitements peuvent avoir en cas de perte d’attache sévère. Ainsi, que nous dit la littérature moderne à ce sujet ? Existe-t-il une supériorité évidente des traitements par aligneurs ou par systèmes multi-attaches dans la préservation de la santé parodontale d’un point de vue microbiologique ? La réponse à cette question sera appuyée sur des études de cohorte, revues systématiques et méta-analyses récentes.
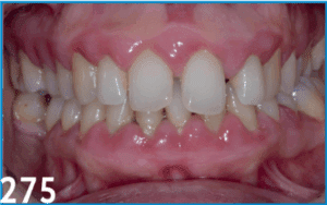
Gestion des encombrements antérieurs en présence de besoins parodontaux : approche multidisciplinaire

Orthodontiste, spécialiste qualifié en orthopédie dento-faciale, pratique libérale, Paris
La prise en charge orthodontique des encombrements antérieurs chez l’adulte ne peut être dissociée d’une évaluation parodontale rigoureuse. Ce cas clinique illustre la nécessité d’une collaboration étroite entre orthodontiste et parodontiste afin de respecter les limites biologiques et de garantir la stabilité à long terme. Après un diagnostic complet incluant une classification parodontale selon les critères de l’EFP 2017, une stratégie thérapeutique conjointe a été établie : assainissement initial, apport gingival préalable, puis mouvements orthodontiques planifiés par setup numérique. Cette démarche intégrée a permis de restaurer l’esthétique et la fonction, tout en préservant le support parodontal. Le succès repose sur un suivi pluridisciplinaire et une communication constante entre les différents acteurs de soins.
Innovations dans le traitement parodontal non chirurgical pré-orthodontique : l’apport des lasers

1 Exercice exclusif en parodontologie et chirurgie orale Ancienne Interne des hôpitaux de Strasbourg Ancienne Attachée des hôpitaux de Lyon
2 Exercice exclusif en parodontologie Praticien Hospitalier CHU Lyon Sud
Dans la société actuelle, les standards de l’esthétique poussent de plus en plus de patients à avoir recours à des soins d’orthodontie pour restaurer leur sourire et la demande des adultes en matière d’orthodontie s’est beaucoup développée ces dernières années. Un des motifs de consultation concerne les migrations dentaires secondaires favorisées par le développement d’une maladie parodontale. Il apparait donc très important de prendre en charge la maladie parodontale avant d’entreprendre un traitement orthodontique afin d’éviter d’éventuelles complications et afin de pérenniser le résultat espéré.
L’objectif de cet article est de faire le point sur les situations à risque parodontal avant tout traitement orthodontique et de proposer un protocole de prise en charge reproductible intégrant la technologie innovante des lasers et son apport dans le traitement parodontal pré-orthodontique non chirurgical.
Revue de presse
SQODF
In Memoriam – Carl F. Gugino, DDS, FACD, FICD
Olivier Sorel
