La Revue d'ODF - N°59-4 : Orthodontie et Parodontie - 2e partie : Applications cliniques et innovations
Après avoir posé les fondations théoriques et conceptuelles dans le premier numéro, place ici à la mise en pratique et à l’innovation clinique. Ce second volet met en lumière des situations concrètes où la coordination ortho–paro se révèle décisive, tout en intégrant les avancées technologiques et les protocoles thérapeutiques les plus récents.
- 1. Apport de l’orthodontie dans le traitement parodontal chez l’adulte, une synergie essentielle
- 2. Aligneurs invisibles et parodonte réduit : une approche intégrée pour concilier orthodontie et santé parodontale
- 3. Diagnostic des récessions gingivales et gestion dans le cadre des traitements orthodontiques
- 4. Traitement parodontal et thérapeutiques adjuvantes anti-bactériennes : limites et alternatives
- 5. Contention directe au Brush-Dip® : temps par temps d’une technique trop méconnue
- 6. Réhabilitation par des implants en céramique zircone après parodontite agressive et traitement orthodontique
- 7. Revue de Presse
- 8. Lu pour vous
- 9. In Memoriam – Guy Bias
Dans ce numéro de la Revue d’ODF :
Apport de l’orthodontie dans le traitement parodontal chez l’adulte, une synergie essentielle

Orthodontiste, spécialiste qualifié en orthopédie dento-faciale, pratique libérale, Paris
L’orthodontie, bien qu’elle ne soit ni préventive ni curative des maladies parodontales, constitue un outil thérapeutique majeur chez l’adulte présentant un parodonte réduit mais stabilisé. Dans les situations de parodontite avancée, elle permet de corriger les migrations dentaires, de restaurer l’occlusion, de faciliter l’hygiène bucco-dentaire et, dans certains cas, de favoriser les processus régénératifs. Ces bénéfices ne sont possibles qu’après un assainissement initial rigoureux, garantissant un environnement parodontal sain et stable. L’intégration de l’orthodontie dans la prise en charge parodontale s’accompagne d’améliorations fonctionnelles, esthétiques et prothétiques, tout en renforçant la stabilité à long terme. La réussite repose sur une planification chronologique stricte, un suivi parodontal rapproché et une collaboration multidisciplinaire étroite. Cette synergie entre orthodontie et parodontologie représente une stratégie incontournable pour optimiser les résultats cliniques et améliorer durablement la qualité de vie des patients.
Aligneurs invisibles et parodonte réduit : une approche intégrée pour concilier orthodontie et santé parodontale

Exercice Libéral Toulouse
Chez les patients adultes présentant un parodonte réduit, les traitements orthodontiques classiques comportent des risques accrus de récessions gingivales, de pertes d’attache supplémentaires et de résorptions osseuses, en raison de la fragilité du support tissulaire. Les aligneurs transparents offrent une alternative adaptée grâce à l’application de forces douces, progressives et homogènes, respectant les limites biologiques du parodonte réduit. Leur caractère amovible facilite l’hygiène bucco-dentaire, limitant l’accumulation de plaque et la progression des maladies parodontales. Des études cliniques confirment leur impact positif sur la réduction de l’inflammation gingivale par rapport aux appareils fixes. La planification du traitement doit être rigoureuse, avec des mouvements dentaires segmentés et un suivi étroit, en collaboration entre orthodontiste et parodontologiste. Les aligneurs permettent également une meilleure répartition des forces et un contrôle précis des déplacements dentaires, réduisant les risques de surcharge mécanique. Enfin, une approche personnalisée et pluridisciplinaire est essentielle pour garantir la sécurité et l’efficacité du traitement à long terme chez ces patients fragilisés.
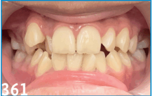
Diagnostic des récessions gingivales et gestion dans le cadre des traitements orthodontiques

Exercice privé limité à la parodontologie, Orléans CCU-AH, en parodontologie, Université Paris Cité Service d’odontologie, Hôpital Charles Foix, Ivry-sur-Seine
Les récessions gingivales sont définies comme le déplacement apical de la gencive marginale par rapport à la jonction émail cément (JEC) ; elles sont associées à une perte d’attache et à une exposition de la surface radiculaire à l’environnement buccal. La relation entre l’apparition de récession suite à un traitement orthodontique soulève des interrogations. Si l’orthodontie seule ne constitue pas un facteur de risque direct, certains paramètres, tels que le phénotype gingival fin, la position radiculaire hors de l’enveloppe osseuse et l’absence de tissu kératinisé, peuvent en potentialiser l’apparition. L’objectif de cette revue narrative est de proposer une conduite à tenir fondée sur l’évaluation préalable des positions dentaires et de l’environnement muqueux, afin de planifier des greffes gingivales préventives ou correctrices. L’intégration d’une approche interdisciplinaire orthodontico-parodontale, ainsi que le suivi rigoureux en phase de contention, sont essentiels pour prévenir ces complications et garantir la stabilité parodontale à long terme.
Traitement parodontal et thérapeutiques adjuvantes anti-bactériennes : limites et alternatives

Exercice limité à la Parodontie/Implantologie Le Cannet des Maures
La maladie parodontale est une affection inflammatoire chronique, multifactorielle et d’étiologie bactérienne. Elle est à ce jour la sixième maladie inflammatoire mondiale, caractérisée par une perte d’attache clinique associée à une lyse osseuse, un indice de saignement gingival augmenté parfois lié à une augmentation de l’indice de plaque. L’élimination minutieuse des biofilms bactériens supra et sub-gingivaux ainsi que la gestion des facteurs/indicateurs de risque généraux et locaux du patient sont autant d’étapes essentielles au succès du traitement parodontal. La prise en charge des maladies parodontales sévères à évolutivité rapide chez les patients jeunes nécessite des thérapeutiques antibactériennes adjuvantes afin d’optimiser les résultats des traitements initiaux et de limiter la multiplication des phases chirurgicales. Cependant, l’émergence des résistances bactériennes constitue aujourd’hui une problématique internationale de santé publique, invitant les Chirurgiens-Dentistes à limiter drastiquement l’usage des antibiotiques en pratique quotidienne. Cet article propose une revue narrative de la littérature récente à propos des thérapeutiques antibactériennes utilisées en clinique ainsi qu’une alternative pertinente par LASER assistée.
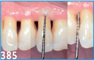
Contention directe au Brush-Dip® : temps par temps d’une technique trop méconnue

Ancienne Interne des Hôpitaux de Paris
Le Brush-Dip®, issu de la technologie du Super-Bond®, est un matériau auto-polymérisable permettant la réalisation de contentions directes post-orthodontiques ou parodontales. Facile à manipuler et tolérant à l’humidité, il offre une adhésion fiable sans nécessiter de digue. Sa mise en oeuvre, rapide et directe au fauteuil, aboutit à une contention fine, esthétique et confortable, sans “syndrome du fil”. Grâce à sa viscoélasticité, le matériau absorbe les contraintes fonctionnelles, limitant le risque de fracture. Utilisé sur plus de 900 cas, le Brush-Dip® présente une excellente stabilité clinique, notamment à la mandibule. Il représente aujourd’hui une alternative performante aux contentions en fibre ou en métal, alliant simplicité, fiabilité et esthétisme.
Réhabilitation par des implants en céramique zircone après parodontite agressive et traitement orthodontique

Ancienne Interne en Odontologie (Paris 7) Ancienne assistante hospitalo-universitaire (département de prothèses, Paris 7) Pratique libérale privée limitée à l’implantologie et à la parodontologie, Paris
Chez les patients présentant des antécédents de parodontite agressive, la réhabilitation implantaire représente un défi majeur en raison du risque accru d’inflammation péri-implantaire et de perte osseuse marginale. Ce cas clinique illustre une approche multidisciplinaire intégrant traitement parodontal laser-assisté, contention ortho-parodontale et réhabilitation implantaire par implants céramiques en zircone.
Deux concepts implantaires ont été mis en oeuvre : des implants monoblocs en céramique zircone et des implants deux pièces en céramique zircone. Les résultats cliniques et radiographiques démontrent une stabilité osseuse et muqueuse satisfaisante, une cicatrisation favorable et une intégration esthétique harmonieuse. Ce protocole met en évidence la pertinence de la zircone dans les contextes à haut risque parodontal, sous réserve d’une planification rigoureuse, d’un contrôle inflammatoire strict et du respect des protocoles adhésifs et occlusaux.
Les implants céramiques apparaissent ainsi comme une alternative biocompatible, esthétique et durable au titane, ouvrant la voie à une implantologie intégralement céramique fondée sur la biologie et la prévention.
Revue de Presse
SQODF
Lu pour vous
Maître de conférences honoraire
In Memoriam – Guy Bias
Guy Bounoure
