La maintenance parodontale pour tous
La maintenance parodontale permet de prévenir ou contrôler, au moins partiellement, les risques carieux, parodontaux et implantaires. C’est aussi la possibilité de dépister précocement l’apparition d’une lésion dentaire, parodontale, péri-implantaire ou muqueuse. Il y a un continuum entre les soins et la maintenance. La maintenance s’inscrit dans le cadre d’une stratégie conservatrice à long terme.
Cliniquement, qu’est-ce qu’une maintenance ?
Pour résumer, une maintenance c’est une séance où d’une part on fait un examen et d’autre part, on élimine les dépôts mous et durs supra et sous-gingivaux qui se sont accumulés malgré le contrôle de plaque du patient. Pour simplifier et en première approximation, on peut dire que c’est un « super » détartrage mais on va voir plus loin que ce terme est plutôt à éviter.
Pourquoi faire de la maintenance ?
Depuis plus de 30 ans, les équipes suédoises ont démontré les bénéfices à long terme de la maintenance [1]. Et, les résultats des autres études à ce sujet convergent, il y a consensus pour dire que la maintenance permet de limiter de façon très significative les traitements curatifs et la perte de dents [2]. De fait, chez les patients suivis régulièrement en maintenance, on observe une progression plus faible des parodontites et de la maladie carieuse. Les patients gardent plus de dents, plus longtemps et avec moins de caries. Il y a aussi une plus faible prévalence des complications péri-implantaires [3]. (Fig.1 à 8).
La maintenance, chez quels patients ?
La maintenance concerne tous les patients [4]. Mais, on peut distinguer les trois situations suivantes.
La maintenance préventive chez un patient avec une gencive saine ou ayant une gingivite (Fig.9 à 12). L’objectif est d’éviter le passage à la parodontite.
La maintenance thérapeutique chez les patients ayant une parodontite. Elle complète le traitement actif parodontal après la réévaluation. Elle permet de maintenir l’équilibre obtenu après le traitement actif (chirurgical ou non). Il est démontré que la stabilité à long terme des parodontites est plus liée à la qualité de la maintenance qu’à la nature du traitement actif réalisé initialement.
La maintenance palliative chez les patients où le traitement parodontal actif n’a pas été mené à son terme (problème de motivation, refus de soin ou problème de santé limitant la réalisation de certains actes) ou dans les situations réfractaires. La maintenance permet ici de ralentir la progression de la parodontite ou de limiter la survenue de carie (Fig.13 à 16).
Si les fondements scientifiques et le contenu sont identiques dans ces trois formes, la durée et la fréquence des maintenances vont varier car les besoins ne sont pas les mêmes.
Comment se passe une séance type [4-5] ?
La maintenance, c’est :
– refaire le point sur le statut médical : 2 à 3 minutes,
– observer, palper et sonder : 5 minutes (Fig.17, 18),
– radiographie si nécessaire : 5 minutes (Fig.3 à 5),
– remotiver, remontrer et adapter les techniques et les outils du contrôle de plaque : 5 minutes (Fig.19),
– éliminer les dépôts mous et durs en supra et sous-gingival : 20 à 25 minutes (Autres cas clinique – Fig.20 à 22),
– programmer le rendez-vous suivant : 5 minutes.
Dans l’examen clinique, le praticien observe et palpe gencive et muqueuse pour identifier toute modification de la couleur, la texture, le volume ou le contour. Il identifie aussi les zones où il reste de la plaque.
Si c’est une zone où il y a des dépôts de façon récurrente, cela peut être l’occasion de proposer de changer de technique ou d’instrument. Par exemple, en augmentant la taille des brossettes ou en adaptant le geste du patient.
Si c’est une zone où il y a des dépôts pour la première fois, cela peut être le signe d’un changement dans les habitudes du patient dont il n’a pas toujours conscience (Fig.19). Par exemple, un patient peut avoir acheté une nouvelle brossette parce qu’il ne trouvait pas sa référence habituelle et il ne s’est pas rendu compte qu’elle était moins efficace. À diamètre équivalent, toutes les brossettes ne se valent pas en termes de longueur et de résistance.
Enfin, le sondage vient compléter cet examen. Le praticien passe une sonde dans le sulcus de toutes les dents et des implants. Mais, il n’est pas nécessaire d’enregistrer ce sondage pour tous les sites. Seuls les sondages supérieurs à 5 mm et/ou avec saignement sont à noter dans la fiche du patient. Cet examen complet prend environ 5 minutes. C’est donc court mais il est essentiel car très révélateur.
Dans certains cas où il y a un sondage profond et/ou un saignement au sondage, il peut être indiqué pendant la maintenance de compléter ponctuellement avec une instrumentation plus spécifique (certains inserts adaptés pour les furcations par exemple ou le passage de curettes). D’autres moyens (antiseptiques/antibiotiques locaux, laser ou thérapie photodynamique, par exemple) peuvent également être utilisés. Mais, ces situations sont minoritaires chez des patients biens suivis. La maintenance est donc un acte accessible techniquement à tous les praticiens. Ce n’est pas un geste de spécialiste. L’aéropolisseur est un bon outil mais il ne permet pas à lui seul de se substituer aux ultrasons. C’est complémentaire à l’instrumentation avec des inserts. D’une part, l’aéropolisseur ne permet pas d’éliminer les dépôts durs et d’autre part, même s’il existe différents types de buses et de poudres, tous les sites ne sont pas accessibles à l’aéropolisseur.
À quelle fréquence voir les patients ?
La fréquence des rendez-vous est déterminée en fonction du risque parodontal/carieux du patient, du nombre d’implants et du type de prothèse implantaire [5-6]. L’intervalle entre les rendez-vous ne peut être standardisé. Il doit être déterminé pour chacun et il peut être modifié et adapté suivant les besoins.
En présence d’un parodonte sain et en l’absence de facteur de risque (risque parodontal et carieux faible), les visites peuvent être annuelles. Le contrôle de plaque doit être optimum dans ce cas.
En présence de gingivite ou d’une parodontite stade 1 et en l’absence de facteur de risque, les visites de maintenance peuvent être espacées de 6 mois voire un an selon les cas (Fig.9 à 12).
Chez un patient avec une parodontite stade 2 et au-delà et/ou de facteurs de risque (maladie systémique, mauvais contrôle de plaque, fumeur…), un suivi régulier tous les 3 ou 4 mois est recommandé au début (Fig.1 à 8). En fonction de la stabilité et de la sévérité de la maladie parodontale, de la présence ou non de facteur de risque et du contrôle de plaque, cet intervalle peut être diminué ou augmenté (Fig.3 à 5).
Pour un patient avec un risque carieux élevé, la maintenance est indiquée au moins tous les six mois. Pour un patient fumeur, avec un mauvais contrôle de plaque et atteint d’une parodontite stade 3, les rendez-vous peuvent être donnés tous les 2 à 3 mois au début puis tous les 3 à 4 mois quand il y a une amélioration du brossage et une diminution du tabac.
Pour un patient avec une prothèse complète fixe sur implant, une visite au moins tous les six mois est aussi indiquée. Si l’accès au brossage est compliqué, il peut être indiqué de le voir plus souvent. Pour un patient avec un implant unitaire, le rythme des visites est déterminé en fonction de son statut parodontal et du risque parodontal.
La maintenance, est-ce comme faire un détartrage ?
Non, ce n’est pas la même chose. Le terme « détartrage » est très réducteur et trompeur par rapport à ce que recouvre réellement cette séance de soins. De fait, l’entretien avec le patient (sur l’état de santé générale, les facteurs de risques, la motivation) et l’examen sont essentiels. Or, ces éléments ne sont pas pris en compte dans le vocable « détartrage ». Et, même chez un patient motivé, il est important de faire le sondage et de redonner des conseils sur le contrôle de plaque.
En outre, l’instrumentation ne consiste pas uniquement à éliminer le tartre macroscopique. L’objectif est de désorganiser le biofilm. Donc, même s’il n’y a pas de tartre visible, même si le brossage est efficace, il faut passer un instrument dans le sulcus de toutes les dents et sur toutes les faces pour désorganiser le biofilm et donc limiter la reformation d’un biofilm pathogène. Après débridement, le biofilm a tendance à se reformer et on perd le bénéfice du traitement.
Chez un patient avec un mauvais contrôle de plaque, le biofilm mature et pathogène se reforme très vite, en quelques semaines. Chez un patient avec un bon contrôle de plaque, le biofilm se reforme aussi mais c’est un peu plus lent. D’où l’importance de compléter le brossage à la maison, même quand il est efficace, par cette séance périodique de maintenance qui permet de maintenir l’équilibre de la flore et de favoriser un état de bonne santé parodontale.
Chez un patient bien motivé et suivi, il y a peu de dépôts minéralisés, donc une séance est souvent simple, rapide et sans douleur car il s’agit essentiellement de désorganiser le biofilm qui est mou et peu adhérent. Des inserts de taille et de forme adaptées sont utilisés à des puissances faibles avec une faible pression et cela limite les vibrations désagréables.
Pour conclure, la maintenance n’est pas un « simple détartrage » car dans une maintenance, on fait beaucoup plus que détartrer : on examine, on parle, on motive et on instrumente même s’il n’y a pas de tartre. Maintenance et détartrage ne sont pas deux actes différents mais bien un seul et même soin qu’on devrait appeler maintenance plutôt que détartrage. Il ne devrait pas y avoir la maintenance chez les parodontistes et les détartrages chez les omnipraticiens. On fait tous de la maintenance. D’ailleurs, dans les pays anglo-saxons, on parle de « cleaning » ou de « maintenance », pas de détartrage, et ce quel que soit l’opérateur : omnipraticien, parodontiste ou hygiéniste.
Si la maintenance est donc l’affaire de tous, on peut tout de même proposer que les patients avec une parodontite de stade 3 ou 4 et/ou une parodontite de grade C (en particulier les ex-parodontites agressives) soient plutôt orientés et suivis par des spécialistes que par des omnipraticiens [5].
On remplace tous le détartrage par une maintenance ?
Du point de vue scientifique, les preuves des bénéfices de la maintenance sont bien établies [3-4-5]. Du point de vue clinique, c’est accessible à tous les praticiens qui ont les compétences et les instruments pour faire évoluer les détartrages en séances plus complètes de maintenance. Ce n’est pas une affaire de spécialiste. Du point de vue économique et ergonomique, c’est plus complexe car une séance de maintenance, c’est long (30 à 45 minutes) et elle est malheureusement mal prise en charge et mal rémunérée. Il y a donc un équilibre à trouver et cela implique des changements dans une activité déjà bien installée et organisée.
Si cela nécessite un temps d’adaptation et peut ne pas convenir à tous les patients, il est démontré qu’assurer la maintenance, c’est développer une pratique orientée vers la prévention, le dépistage précoce et la préservation des soins et prothèses réalisés. C’est le socle d’une activité valorisante et on peut penser que la majorité des patients est très sensible à cette approche où on prend du temps pour écouter, examiner, conseiller et préserver leur denture. ◊
Cas clinique 1 (Fig.1 à 5)

Fig.1 : Cas de Mme F. Bilan radiographique initial en 1994 par le Dr Peter Pré qui diagnostique une parodontite généralisée sévère (stade 3, grade B) et qui fait un traitement initial puis de la maintenance tous les quatre mois les premières années.

Fig.2 : Vue clinique 26 ans plus tard.

Fig.3, 4, 5 : Aucune dent perdue et pas de progression de la perte osseuse. Intervalle de maintenance passé à six mois. Les radiographies rétro-coronaires (deux de chaque côté idéalement) sont plus précises que la panoramique pour le dépistage précoce des caries et pour évaluer le niveau osseux proximal.

Fig.4.

Fig.5.
Cas clinique 2 (Fig.6 à 8)

Fig.6 : Cas de M. R. Bilan radiographique initial en 2008 par le Dr Peter Pré qui diagnostique une parodontite agressive généralisée sévère (stade 3, grade C) chez un patient de 35 ans.

Fig.7 : Vue clinique 14 ans après. Parfait contrôle de plaque, peu de dépôts, mais il reste nécessaire de voir le patient tous les quatre mois pour maintenir un équilibre de la flore. Fig.8 : Radiographie panoramique après 14 ans de suivi. La 46 a été perdue pour des raisons endodontiques et a été remplacée par une couronne sur implant.

Fig.8 : Radiographie panoramique après 14 ans de suivi. La 46 a été perdue pour des raisons endodontiques et a été remplacée par une couronne sur implant.
Cas clinique 3 (Fig.9 à 12)

Fig.9 : Cas de Mme B. Vue clinique initiale ; gingivite liée à la plaque dentaire chez une patiente de 23 ans sans facteur de risque.

Fig.10 : Vue clinique après deux ans de suivi. Résolution de l’inflammation.

Fig.11 : Vue clinique après trois ans de suivi.

Fig.12 : Vue clinique après quatre ans de suivi. Chaque maintenance est l’occasion de remontrer les bons gestes (ici le passage du fil) et de remotiver les patients. Suivi annuel compte tenu de la stabilité des résultats.
Cas clinique 4 (Fig.13 à 16)

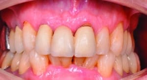
Fig.13 : Cas de M. G. Bilan radiographique initial en 1978 par le Dr Peter Pré qui commence à suivre le patient tous les six mois en maintenance.

Fig.14 : Bilan radiographique en 1994 (plus de 16 ans de suivi). Seule la 11 fracturée a été perdue. Plusieurs soins ont été refaits.

Fig.15 : Vue clinique en 2020 (plus de 32 ans de suivi). Contrôle de plaque moyennement efficace. Il reste indiqué de suivre le patient au moins tous les six mois.

Fig.16 : Radiographie panoramique en 2020. 17, 27 et 37 ont été perdues et 44, 45, 34 ont été couronnées à la suite de reprises de caries.
Autres cas cliniques (Fig.17 à 22)

Fig.17 : Aspect clinique sain de la gencive, mais il y a un sondage de 9 mm. Le sondage est donc essentiel ; on ne peut pas se fier qu’à l’aspect visuel des tissus.

Fig.18 : Patient suivi depuis 25 ans ; inflammation gingivale discrète en mésial de 21 et en rapport avec du tartre sérique. Ce cas illustre d’une part que l’examen visuel est essentiel en début de maintenance et d’autre part que, même chez un patient stabilisé, il faut rester vigilant et bien instrumenter toutes les faces de toutes les dents car on peut laisser s’accumuler des dépôts. On avait dû probablement négliger cette zone pendant plusieurs rendez-vous de maintenance précédents.

Fig.19 : Patient suivi en maintenance depuis six ans. Plus de plaque en distal de 21 que d’habitude. L’embrasure est large et le patient a pris une brossette trop petite. Il est important de lui redonner la référence de la bonne brossette et de lui expliquer à nouveau qu’il faut que cela frotte pour détacher le biofilm qui est adhérent. La brossette n’est pas un cure-dent pour » déboucher » les espaces.

Fig.20 : Vue clinique d’un micro-insert chez une patiente en maintenance. L’absence de tartre ne signifie pas qu’on n’instrumente pas. Il reste indiqué de désorganiser le biofilm, soit avec un micro-insert à puissance faible, soit avec un aéropolisseur.

Fig.21 : Insert spécifique non métallique pour débrider autour d’une couronne sur implant. Fig.22 : Buse d’aéropolissage en sous-gingival autour d’une couronne sur implant.

Fig.22 : Buse d’aéropolissage en sous-gingival autour d’une couronne sur implant.
Auteurs
Dr Philippe Bidault

Exercice orienté en implantologie et parodontologie
Correspondance : philippebidault@mac.com
Dr Dominique Glez, Dr Julie Ménard
Dr Christine Romagna Genon
Bibliographie
[1] Axelsson et coll. The long-term effect of a plaque control program on tooth mortality, caries and periodontal disease in adults. Results after 30 years of maintenance. J Clin Periodontol 2004 31: 749-757.
[2] Rosling et coll. Longitudinal periodontal tissue alterations during supportive therapy. Findings from subjects with normal and high susceptibility to periodontal disease. J Clin Periodontol 2001.
[3] Tonetti et coll. Principles in prevention of periodontal diseases: Consensus report of group 1 of the 11th European Workshop on Periodontology on effective prevention of periodontal and peri-implant diseases. Clin Periodontol 2015 Apr;42 Suppl 16: S5-11.
[4] AAP. Parameter on periodontal maintenance. American Academy of Periodontology. J Periodontol 2000b; 71: 849-850.
[5] AAP. Guidelines for management of patients with periodontal disease. J Periodontol 2006: 77: 1608-1611.
[6] Cohen RE. Position paper : periodontal maintenance. J Periodontol 2003 ; 74 : 1395-1401.
