L'apport des outils numériques dans le protocole de réhabilitation orale globale ortho-prothétique
Avec le soutien
institutionnel de

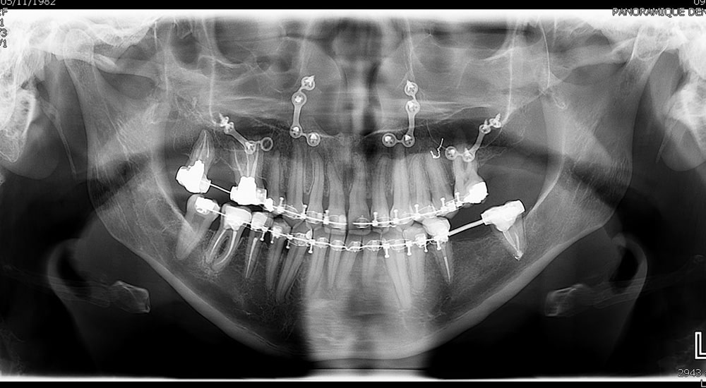
Les réhabilitations orales globales constituent très souvent un défi, tant pour le patient que pour l’ensemble de l’équipe soignante. Leur prise en charge requiert une approche pluridisciplinaire, impliquant une collaboration étroite entre l’omnipraticien et différents spécialistes, notamment en orthodontie, chirurgie maxillo-faciale, endodontie et implantologie.

Le flux numérique améliore la communication entre le praticien, le prothésiste et le patient tout en garantissant un résultat prévisible....
- Master class outils numériques