On refait le cas !
Cette rubrique est la retranscription d'un échange entre les Drs Olivier Samtmann et Erwan Hauchard sur leur cas clinique de vestibuloplastie.
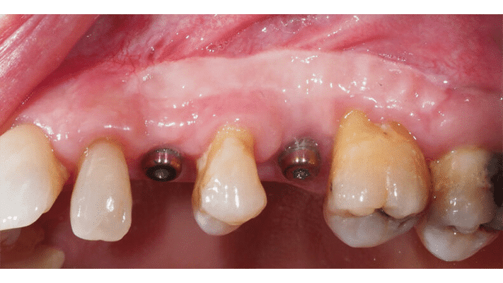
Erwan Hauchard : Waouh, les résultats sont impressionnants ! Et tout cela sans substituts ! Mais penses-tu que l'on puisse obtenir des résultats similaires dans tous les types de reconstructions ?
Olivier Samtmann : C'est une excellente question (rires)... L'épaisseur de tissu kératinisé obtenue dépendra de l'épaisseur du tissu colonisé. En toute franchise, cette analyse ne se base que sur mon expérience personnelle, mais les reconstructions osseuses entraînant une couche importante de pseudo-périoste sont celles où cette technique sans substitut donnera le meilleur résultat. Il s'agit essentiellement de reconstructions avec utilisation de biomatériau (type os bovin anorganique) et/ou avec usage de dispositifs de maintien non résorbables (membrane PTFE ou grille...
Ce contenu est réservé aux abonnés de la revue dentaire365.
Déjà abonné ? Connectez-vous
