Présentation d'un cas de réhabilitation implantaire
Dr Nicolas Cocco
Avec le soutien
institutionnel de

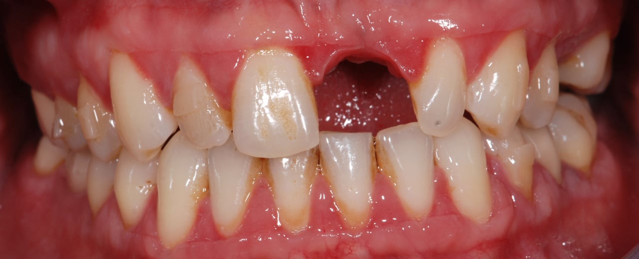
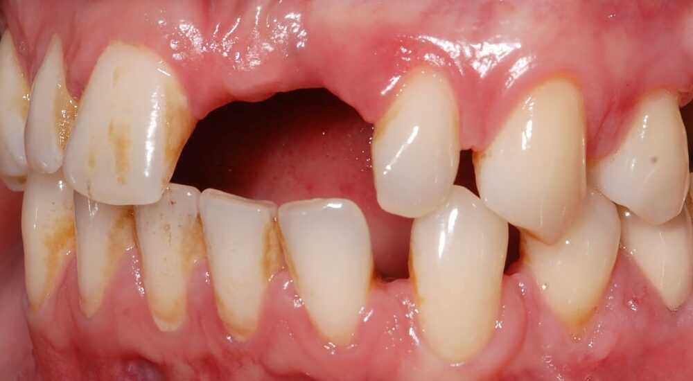
Ce cas clinique présente une situation complexe mêlant édentement, déséquilibres esthétiques et contraintes occlusales. En associant, étape par étape, un traitement orthodontique préparatoire, une gestion implantaire réfléchie et une restauration prothétique minutieuse, nous avons pu construire une solution fonctionnelle et stable.

Ce traitement s'inscrit dans une logique de coordination et de vision globale mêlant orthodontie, chirurgie et prothèse....
- Master class Réhabilitation implantaire
L'orthodontie a permis de recréer un environnement dentaire et radiculaire favorable à l'implantation....
- Master class Réhabilitation implantaire
En tant que praticien généraliste réalisant une activité de chirurgie non exclusive, il m'est précieux de pouvoir m'appuyer sur un système unique, suffisamment polyvalent pour éviter la multiplication des trousses chirurgicales, et cohérent dans son approche globale....
- Master class Réhabilitation implantaire