La prothèse transitoire en mise en charge immédiate
L’un des traitements de l’édentement complet d’un maxillaire peut se faire par la mise en place de 4, 6 ou 8 implants selon le maxillaire traité. À l’origine, le traitement initial était long car il fallait attendre l’ostéointégration des implants pour les mettre en charge. Avec l’évolution des états de surface notamment, les dogmes ont changé et la mise en fonction des implants peut se faire dans le même temps opératoire que la mise en place de ces implants dans certaines conditions de stabilité, de localisation et de nombre d’implants [1].
La mise en charge immédiate a impliqué la réalisation d’une prothèse provisoire. Dès lors, deux façons de réaliser la prothèse transitoire se sont imposées :
- soit par la prise d’empreinte et la réalisation d’une prothèse transitoire au laboratoire après la pose des implants,
- soit par adaptation d’une prothèse transitoire préparée en amont.
Pour des raisons personnelles et professionnelles, nous ne pouvons envisager que nos patients sortent du cabinet sans dents pour une demi-journée et encore moins pour deux à trois jours et ce, même si l’empreinte optique peut faciliter la réalisation prothétique une fois les implants posés.
En effet, nous trouvons que la prise d’empreinte numérique sur un maxillaire édenté complet sans aucun repère est complexe de par le chemin d’acquisition nécessaire et pas toujours fiable [2], surtout à la mandibule. En pratique, il faut souvent composer avec un manque de passivité à distance de la chirurgie.
D’autre part, un moyen pour améliorer le process serait d’avoir un laboratoire comprenant une usineuse ou une imprimante au cabinet afin de tirer la quintessence du flux numérique. Nous n’avons pas fait ce choix au cabinet pour des raisons de désintérêt et de coût. C’est pourquoi nous privilégions l’adaptation d’une prothèse préparée en amont.
L’objectif de cet article est de montrer trois propositions de la réalisation de la prothèse transitoire lors de la réalisation d’une mise en charge immédiate pour édentement complet sans empreinte et sans un laboratoire intégré comprenant une usineuse ou imprimante.
À travers trois cas cliniques nous aborderons :
- l’adaptation et modification d’une prothèse complète existante,
- la fixation d’une prothèse stabilisée sur un guide chirurgical,
- la fixation d’une prothèse transitoire préparée et finie en amont.
Cas clinique n°1 : adaptation et modification d’une prothèse complète existante
C’est la technique de référence que nous avons le plus utilisé au cabinet avant l’avènement du numérique.
Elle est particulièrement indiquée quand :
- le patient se présente avec un appareil complet,
- si on a dû passer par un appareil complet transitoire sans pouvoir faire une extraction et mise en charge immédiate,
- la chirurgie s’est faite à main levée (problème d’ouverture buccale ou en cas de claustrophobie avec un patient qui ne supporte pas l’inconfort du guide).
Pour ce faire, nous utilisons soit la prothèse existante d’un patient, soit une nouvelle prothèse si l’ancienne n’était plus fonctionnelle, soit une prothèse réalisée en amont en cas d’extraction et mise en charge immédiate.
La procédure est la suivante (après extractions si nécessaire, la mise en place des implants et des piliers et la réalisation des sutures).
- Vissage des piliers de protection implantaires sur les piliers multi-units (système Bredent).
- Mise en place de silicone fluide ou d’alginate dans l’intrados de la prothèse pour marquer les endroits où sortent les fûts implantaires et évider la prothèse.
- Dévissage des piliers de protection et vissage des piliers temporaires.
- Vérification de la bonne insertion de la prothèse sans interférence avec les piliers temporaires.
- Vérification de la dimension verticale.
- Mise en place d’une feuille de digue découpée autour des piliers.
- Obturation des piliers temporaires avec silicone fluide, téflon ou tige silicone.
- Connexion des piliers temporaires avec la prothèse par injection de composite photopolymérisable (Qresin de Bredent).
- Modification de la prothèse avec remplissage des espaces vides avec le composite photopolymérisable, modification de la prothèse par éviction du palais et polissage.

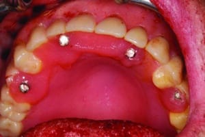
Fig.1 : Implants et piliers mis en place.

Fig.2 : Validation de la prothèse amovible modifiée pour le collage des piliers temporaires.

Fig.3 : Collage en bouche – vue occlusale (autre cas clinique pour démonstration).

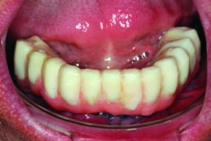
Fig.4, 5 : Prothèse postopératoire immédiate.

Fig.5.
Cas clinique n°2 : fixation d’une prothèse stabilisée sur un guide chirurgical
Depuis une dizaine d’années, nous utilisons la chirurgie guidée qui nous permet de mieux anticiper la position implantaire et d’améliorer nos résultats cliniques. Cependant les premiers guides chirurgicaux, bien qu’améliorant la position implantaire, ne nous permettaient pas de repositionner correctement la prothèse transitoire et l’assemblage implant-prothèse pouvait être fastidieux, d’autant plus que les prothèses que nous recevions étaient sans palais et donc sans référence tridimensionnelle.
Depuis deux ou trois ans, un nouveau type de guide s’est développé : le guide à étage. Ce type de guide nous permet de :
- guider les forages,
- guider une éventuelle résection osseuse,
- guider la pose des implants,
- guider la fixation de la prothèse.
Pour ce faire, nous utilisons un guide « base » que nous stabilisons par des clavettes. Puis après avoir posé les implants à travers le guide et vissé les piliers prévus en amont de la chirurgie, nous fixons la prothèse selon la procédure suivante :
- mise en place des piliers transitoires,
- mise en place d’une digue,
- obturation des piliers temporaires avec silicone fluide, téflon ou tige silicone,
- connexion des piliers temporaires avec la prothèse par injection de composite photopolymérisable (Qresin de Bredent),
- modification de la prothèse avec remplissage des espaces vides avec le composite photopolymérisable, polissage.

Fig.6 : Guides et implants en place : les implants antérieurs ont des piliers droits prévus, l’indexation n’est pas importante, ce qui n’est pas le cas des implants postérieurs qui doivent respecter l’indexation prévue en amont (traits sur le guide dans le système implantaire Bredent). Guide et prothèse réalisés par Jérôme Vaysse, laboratoire Corus HTD à Toulouse.

Fig.7 : Prothèse mise en place sur le guide avant injection Qrésin (Bredent) permettant de coller les embases prothétiques transitoires et la prothèse provisoire.

Fig.8 : Prothèse provisoire vissée en bouche.

Fig.9 : Panoramique postopératoire de contrôle.
Cas n°3 : fixation d’une prothèse transitoire préparée et finie en amont
Pour cette technique, l’idée est que l’implantologie devient « prothétiquement guidée » [3] pour que l’ajustage de la prothèse, transitoire préparée et finie complètement en amont, avec les implants soit parfait et passif. Il n’y a donc pas d’étapes prothétiques, mis à part un réglage occlusal.
Une fois le forage réalisé, la position des implants validée, le guide est déposé et la prothèse vissée directement en bouche. N’ayant pas de modification de la prothèse transitoire et donc de temps de réalisation prothétique, il est possible de mieux manager les tissus gingivaux en guidant la cicatrisation.

Fig.10 : Prothèse finie en amont avec piliers transitoires collés.

Fig.11 : Positionnement implantaire validé avant démontage. Guide et prothèse réalisés par Jérôme Vaysse, laboratoire Corus HTD à Toulouse.

Fig.12 : Fin de l’intervention après vissage.

Fig.13 : Panoramique de contrôle postopératoire. La prothèse sera revissée en 35 et 42 après le contrôle radiographique.

Fig.14 : Cicatrisation à 15 jours.
Discussion
La discussion portera sur les avantages et inconvénients de chacune des trois techniques ci-dessus. La technique conventionnelle est très simple à mettre en œuvre. Elle ne demande aucun outil numérique particulier au cabinet (mis à part un cone beam initial pouvant être réalisé dans un cabinet de radiologie), comme une caméra ou une usineuse. Tout se fait à main levée, ce qui est moins précis qu’une chirurgie guidée [4] mais la précision des sorties implantaires est satisfaisante pour ce type de reconstruction à condition que le praticien ait bien pris les repères anatomiques sur le scanner et les moulages.
Le principal écueil de cette technique est la réalisation prothétique et donc le temps postopératoire qui est très chronophage. En effet, la modification d’un appareil complet est longue (1 h 30/2 h) pour obtenir un résultat satisfaisant. Il est nécessaire de refixer les piliers temporaires, de rajouter de la résine pour créer une convexité, d’enlever les bords vestibulaires de la prothèse totale et d’évider le palais. De plus il est difficile d’obtenir un polissage idéal sans un tour à polir de prothésiste. Une des grandes critiques de cette technique est le risque de fracture de la résine et la nécessité de devoir rigidifier la prothèse avec un renfort métallique. Cependant il est admis qu’une épaisseur d’environ 1 cm de résine permet de se passer de ce renfort [5].
Les guides à étage ont permis de repousser les limites de la chirurgie guidée conventionnelle [6]. En effet le guide à étage permet de garder des repères spatiaux pour le collage de la prothèse transitoire sur les embases titane transitoires. Par la réalisation de guides à étage, la précision de la position des implants et donc de l’émergence prothétique varie selon les auteurs. Alzoubi F et coll ont montré des déviations moyennes importantes de l’ordre de 1,43 mm au col de l’implant, de 1,90 mm à l’apex de l’implant et de 4,14° en déviation globale de l’implant [7]. Cependant cette imprécision relative nous permet d’avoir un travail prothétique simplifié avec un résultat final plus satisfaisant que la chirurgie à main levée. Le travail prothétique se résume à un remplissage des espaces entre les piliers et la prothèse, l’éviction des parties prothétiques et la modification des inters de bridge si nécessaire. Le travail prothétique est donc beaucoup plus rapide et facile que pour la technique conventionnelle.
La prothèse transitoire préparée et finie en amont est le graal de la chirurgie guidée. Cette technique permet de valoriser le travail de planification en réduisant au strict maximum le temps prothétique postopératoire, comme le décrit le Dr Pascual [3]. Le gain de temps et de confort pour le patient lors de l’intervention sont considérables. Toutefois cette technique demande une précision totale avec une tolérance « 0 » à la déviation (au col et à l’apex) sous peine de ne pas pouvoir mettre la prothèse de manière passive. Il est donc nécessaire de passer sur un guide en métal très rigide en multipliant les appuis dentaires et/ou osseux. Sa conception est différente d’un guide à étage. Son insertion est plus délicate et demande une planification et une parfaite maîtrise des techniques de chirurgie guidée. Actuellement, nous arrivons à obtenir cette précision suffisante et nécessaire sur des cas idéaux mais nous ne sommes pas reproductibles à 100 %. Nous avons dû quelquefois modifier le bridge transitoire.
Photos diverses montrant la différence de travail prothétique

Fig.15 : Intrados d’une prothèse complète à modifier directement après dévissage. Notez que les bords de la prothèse complète ont été préparés en amont pour gagner du temps en postopératoire. Fig.16 : Prothèse modifiée en bouche avant polissage.

Fig.16 : Prothèse modifiée en bouche avant polissage.

Fig.17 : Intrados d’une prothèse collée sur un guide à étage directement après dévissage. Fig.18 : Prothèse collée via un guide à étage avant polissage.

Fig.18 : Prothèse collée via un guide à étage avant polissage.

Fig.19, 20 : Photos montrant l’utilisation de la Qresin (Bredent) par injection et photopolymérisation.

Fig.20.
Conclusion
Au cabinet, nous utilisons les trois techniques selon différentes indications en sachant que la réalisation de la prothèse transitoire via les guides à étage est, pour nous, actuellement le meilleur compromis. Nous réservons la prothèse transitoire préparée et finie en amont à des cas idéaux sans implants angulés et sans extraction-implantation immédiate. Nous travaillons à élargir les indications de cette technique car le confort du patient et le résultat final s’en trouvent améliorés. Avant de se lancer dans cette technique, il est nécessaire de maîtriser la chirurgie guidée avec son système implantaire. Nous utilisons de moins en moins la technique de modification de l’appareil complet du patient mais il paraît important de la maîtriser pour reprendre la main en cas d’échec d’une chirurgie guidée, ou s’il n’est pas possible de mettre en place un guide chirurgical.
Auteur
Dr Vincent Roubinet

Diplôme interuniversitaire en chirurgie dentaire laser assistée
DU de sédation consciente (Paris)
DU d’implantologie et de chirurgie buccale (Dijon)
DU d’odonto-stomatologie médico-légale et identification (Dijon)
Membre de l’ITI
Expert près la cours d’appel de Grenoble
Bibliographie
[1] Balshi TJ, Wolfinger GJ, Slauch RW, Balshi SF. A retrospective analysis of 800 Brånemark System implants following the All-on-Four protocol. J Prosthodont. 2014 23:83-8.
[2] Zhang YJ, Shi JY, Qian SJ, Qiao SC, Lai HC. Accuracy of full-arch digital implant impressions taken using intraoral scanners and related variables: A systematic review. Int J Oral Implantol (Berl). 2021 May 12;14(2):157-179.
[3] Pascual D, Vaysse J. Mise en charge » instantanée » d’une prothèse définitive en une seule étape. Revue Titane dent implant et parodonte. Hors-série 2017; 87-104.
[4] Vermeulen J. Comparaison entre l’implantologie à main levée versus l’implantologie guidée. Let. Stoma. 2016 ; 69 : 30-33.
[5] Paulo Malo. History and evolution of the All-on-4 treatment concept, video vue sur youtube le 11/01/2023, EAO 2013.
[6] Camille Marteau. Le guide chirurgical implantaire à étages : une solution aux limites des guides chirurgicaux implantaires conventionnels ? Chirurgie. 2022. dumas-03720860.
[7] Alzoubi F, Massoomi N, Nattestad A. Bone Reduction to Facilitate Immediate Implant Placement and Loading Using CAD/CAM Surgical Guides for Patients With Terminal Dentition. J Oral Implantol. 1 oct 2016;42(5):40610.