Comment aborder les transpositions dentaires ?
Les transpositions, bien qu’étant d’une prévalence rare, sont de véritables challenges pour l’orthodontiste. Chacun sera un jour confronté à ces ectopies dentaires extrêmes.
Comment réagir face aux transpositions dentaires, situations réputées difficiles ? Quels sont les mouvements dentaires envisageables et quelles sont les solutions thérapeutiques ?
Nous traiterons deux cas de transpositions dentaires de canine avec la première prémolaire maxillaire (cas le plus fréquent). Seules les solutions biomécaniques mises en œuvre pour rétablir ces transpositions dentaires seront présentées. Les cas de transposition sont des situations cliniques à risque. Les mouvements nécessaires pour rétablir une transposition sont complexes et le support parodontal est souvent mis à rude épreuve. La gestion de ces deux difficultés peut être simplifiée par un déplacement palatin d’une des deux dents pour contourner la seconde. De cette façon, le support parodontal vestibulaire reste suffisant tout au long de la procédure.
Une fois la prémolaire déplacée en direction palatine, la canine peut alors être mésialée dans sa position normale, enfin, le rétablissement final de la transposition est géré par un déplacement vestibulaire et légèrement distal de la prémolaire. La clef de cette technique est d’obtenir un déplacement palatin.
Ce déplacement doit être conséquent afin de ne pas gêner le repositionnement de la canine. La solution est donc d’obtenir un ancrage palatin puissant. Nous présentons ici deux cas cliniques : dans le premier, l’ancrage est assuré par une mini-vis Ancora ; dans le second, l’ancrage est assuré par un disjoncteur inter-maxillaire.
Cas clinique 1
Il s’agit d’un jeune homme de 12 ans et demi, qui présente une transposition 13- 14. 12 est fracturée, 13 est au contact de 15 ; 53 est toujours présente sur l’arcade et 14 est incluse ; (Fig.1 et 1b).
Orthopantomographie
On observe la transposition complète de 14 en place de 13. Six mois après la pose du multi-attaches (boîtiers en Roth 0,022 x 0,028), la désinclusion de 14 est réalisée par le Dr François SEVAIN (Lyon) ainsi que l’extraction de 53 et la pose de l’ancrage. L’ancrage est une mini-vis Ancora de 8 mm placée en palatin à mi-distance de la crête et du raphé médian. Elle doit être suffisamment à distance de la dent à déplacer pour obtenir l’amplitude de mouvement nécessaire et en « piquet de tente » de façon à produire une résistance satisfaisante ; (Fig.2). L’extraction de 53, désinclusion de 14 et la pose de l’ancrage Ancora ont été réalisées par le Dr François SEVAIN.

La traction est réalisée par un ressort en NiTi de 200g. Quand la prémolaire est suffisamment déplacée en palatin, la canine peut être mésialée par un système de traction-compression (chaînette-ressort). Après quatre mois de traction, la prémolaire est suffisamment déplacée pour que la canine puisse être mésialée par le système de traction-compression ; (Fig.3). Le système traction-compression est maintenu sur un arc à mémoire de forme 0,020 x 0,020 et une ligature métallique tracte la prémolaire en direction disto-vestibulaire grâce à la déformation imprimée sur l’arc ; (Fig.4).
La prémolaire est appareillée, un arc Copper NiTi de 0,021 x 0,025 est placé afin de terminer la mise en place de 14, de gérer la fermeture des espaces et l’axe des dents ; (Fig.5).

La correction de la transposition et la gestion du torque de 13 et 14 ont duré 12 mois. Le schéma occlusal a été rétabli et le parodonte est maintenu ; (Fig.6a, 6b et 7).

Cas clinique 2
Il s’agit d’une jeune fille de 13 ans, elle présente également une transposition canine-prémolaire au maxillaire (23- 24) ; (Fig.8 et 9).
Chez cette patiente, une disjonction est nécessaire. Un disjoncteur maxillaire est mis en place et servira d’ancrage palatin pour rétablir la transposition ; (Fig.10).

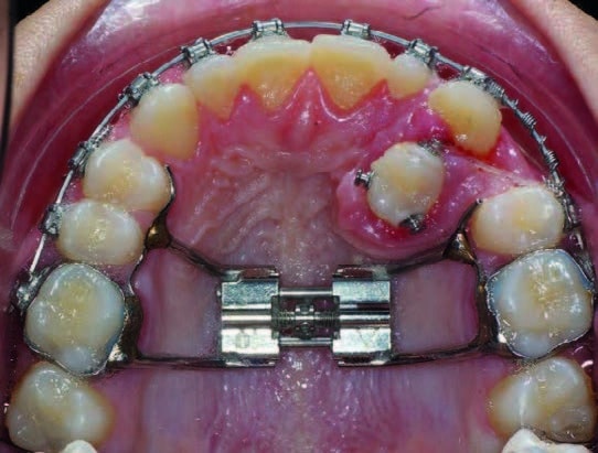
Un mois après la fin de la disjonction, deux boutons sont collés en mésial et distal de 24 et la relient au disjoncteur par l’intermédiaire d’une chaînette élastomérique qui la tracte en direction disto-palatine. Le disjoncteur, maintenu pour stabiliser l’expansion maxillaire, sert en même temps d’ancrage pour le déplacement palatin de la prémolaire.
La traction peut aussi être réalisée par un ressort NiTi en traction qui est fixé sur le disjoncteur par l’intermédiaire d’une ligature métallique ; (Fig.11 et 12).
Lorsque la prémolaire est suffisamment palatine pour que la canine puisse être mésialée, un ressort en compression placé entre 25 et 23 permet de mésialer la canine. La présence du disjoncteur potentialise l’ancrage postérieur pour mésialer la canine.
En même temps, la prémolaire est tractée par une chaînette élastomérique en direction disto-vestibulaire. Un boîtier est fixé sur 24, un arc à mémoire de forme 0,020 x 0,020 termine la mise en place de la dent sur l’arcade ; (Fig.13). Le traitement n’est pas encore terminé, l’orthopantomographie de fin de traitement n’est donc pas encore réalisée ; (Fig.14).
Faciliter le contournement
Les transpositions dentaires sont des situations complexes qui nécessitent une bonne analyse biomécanique. Le spécialiste en orthopédie-dento-faciale doit pouvoir proposer des solutions simples afin de rétablir une occlusion idéale.
La solution la plus sûre pour le parodonte et l’organe dentaire semble être le déplacement palatin d’une des dents afin de faciliter le contournement.
La présence d’un ancrage palatin est alors envisageable, il peut être apporté par un dispositif déjà présent, comme un disjoncteur ou par un dispositif spécial, comme les ancrages osseux temporaires.











